Topuk Dikeni Tedavisi

Topuk Dikeni Tedavisi Nasıl Yapılır?

A Life Sağlık Grubu olarak, topuk dikeni tedavisini adım adım açıklamak istiyoruz. Bu süreç hakkında size detaylı bilgi vermek istiyoruz. Tedavi, hastanın semptomlarının şiddetine, süresine ve genel sağlık durumuna göre kişiye özel olarak planlanır.

Konservatif (Cerrahi Olmayan) Tedavi:

Topuk dikeni tedavisinde öncelik cerrahi olmayan yöntemlerdir. A Life Sağlık Grubu'nda uygulanan başlıca konservatif tedavi adımları şunlardır:

  • Ağrıyı Azaltma ve İltihabı Giderme:
    • Dinlenme
    • Buz Uygulaması
    • Ağrı Kesici ve Anti-inflamatuar İlaçlar
  • Mekanik Desteğin Sağlanması:
    • Topukluk ve Tabanlıklar
    • Gece Ateli
  • Fizik Tedavi ve Egzersiz Programı:
  • Enjeksiyon Tedavileri:
    • Kortikosteroid Enjeksiyonları (Topuk Dikeni İğnesi)
  • Modern Tedavi Yöntemleri:
    • Lazer Tedavisi
    • ESWT (Ekstrasorporeal Şok Dalga Terapisi)

Cerrahi Tedavi (Nadir Durumlarda):

  • Konservatif tedavilere rağmen ağrının geçmediği ve hastanın yaşam kalitesinin ciddi şekilde etkilendiği nadir durumlarda cerrahi tedavi düşünülebilir.
  • Cerrahi seçenekler arasında plantar fasyanın bir kısmının serbest bırakılması veya kemiksi çıkıntının alınması yer alabilir.
  • A Life Sağlık Grubu'nda cerrahi tedavi kararı, detaylı bir değerlendirme sonucunda hasta ile birlikte alınır.
Topuk_Dikeni_59e4292f.webp

Gece Ateli ile Topuk Dikeni Tedavisi

Gece ateli, uyku sırasında ayağı belirli bir pozisyonda sabitlemeye yarayan özel bir cihazdır. Genellikle ayak bileğini 90 derecelik bir açıyla veya hafif dorsifleksiyonda (parmaklar yukarı doğru bükülmüş pozisyonda) tutar. Bunun temel amacı şunlardır:

  • Plantar Fasyayı Germek: Çoğu insan uyurken ayakları aşağı doğru bakar pozisyonda durur. Bu durum, plantar fasyanın kısalmasına ve gerginliğinin azalmasına neden olabilir. Sabah kalkınca üzerine basıldığında ise ani bir gerilme ve dolayısıyla ağrı hissedilir. Gece ateli, uyku boyunca plantar fasyayı nazikçe gererek bu kısalmayı önler.
  • Sabah Ağrısını Azaltmak: Plantar fasya gece boyunca gergin kalır. Bu yüzden sabah kalkınca ilk adımlarda hissedilen ağrı azalır.
  • İyileşme Sürecini Desteklemek: Düzenli gece ateli kullanımı, plantar fasyanın iyileşme sürecine katkıda bulunur ve tekrarlayan zorlanmaları önlemeye yardımcı olabilir.

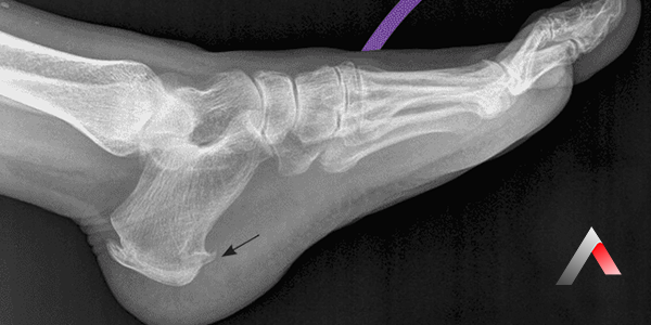
Topuk Dikeni İğnesi

Topuk dikeni iğnesi, genellikle topuğun alt kısmına yapılır. Bu işlemde, ağrının en yoğun olduğu bölgeye kortikosteroid içeren bir ilaç enjekte edilir. Kortikosteroidler, güçlü iltihap giderici özelliklere sahiptir. Bu sayede, bölgedeki iltihabı ve ağrıyı hızla azaltabilirler.

Topuk Dikeni İğnesinin Faydaları:

  • Hızlı Ağrı Kesici Etki: Kortikosteroidler, iltihabı hızla azaltarak kısa sürede belirgin bir ağrı rahatlaması sağlayabilir. Bu, özellikle şiddetli ağrı çeken hastalar için önemlidir.
  • Hareket Kabiliyetinin Artması: Ağrının azalmasıyla birlikte hastanın günlük aktivitelerini daha rahat bir şekilde yerine getirmesi mümkün olabilir.
Topuk_Dikeni_Nedir_6ee616ce.webp

Topuk Dikeni Lazer Tedavisi

Topuk dikeni tedavisinde kullanılan lazer, yüksek yoğunluklu cerrahi lazerlerden farklı olarak düşük seviyelerde enerji yayar. Bu enerji, vücut dokuları tarafından emilerek bir dizi biyolojik etkiye yol açar. Temel etki mekanizmaları şunlardır:

  • İltihabı Azaltma: Lazer enerjisi, iltihap sürecinde rol oynayan mediatörlerin salgılanmasını baskılayarak bölgedeki iltihabı azaltmaya yardımcı olur.
  • Ağrı Giderme: Lazer, sinir uçlarına etki ederek ağrı sinyallerini azaltabilir. Ayrıca, endorfin salgısını artırarak doğal bir ağrı kesici etkisi yapabilir.
  • Doku İyileşmesini Hızlandırma: Lazer enerjisi, kan dolaşımını artırarak ve hücre metabolizmasını uyararak hasarlı dokuların (plantar fasya gibi) iyileşme sürecini hızlandırabilir.
  • Kas Gevşemesi: Lazer tedavisi, bölgedeki kas spazmlarını çözerek rahatlama sağlayabilir.

Şok Dalga Tedavisi (ESWT)

ESWT tedavisinde kullanılan cihaz, özel bir başlık aracılığıyla topuk bölgesine odaklanmış mekanik basınç dalgaları (şok dalgaları) gönderir. Bu dalgalar, dokulara nüfuz ederek bir dizi iyileştirici etki yaratır:

  • Ağrı Kesici Etki: Şok dalgaları, ağrı reseptörlerini etkileyerek ağrı sinyallerinin iletimini azaltabilir.
  • Kan Dolaşımını Artırma: Uygulanan enerji, bölgedeki kan damarlarının oluşumunu (neovaskülarizasyon) teşvik ederek kan akışını hızlandırır. Bu, hasarlı dokulara daha fazla oksijen ve besin taşınmasına yardımcı olur.
  • İltihabı Azaltma: ESWT, kronik iltihaplanmayı tetikleyen maddelerin salgılanmasını baskılayabilir.
  • Doku İyileşmesini Uyarımı: Şok dalgaları, kollajen üretimini ve büyüme faktörlerinin salgılanmasını uyararak hasarlı tendon ve bağ dokusunun iyileşme sürecini hızlandırır.
  • Kalsifikasyonların Parçalanması: Topuk dikeninde görülen kalsiyum birikintileri (kemiksi çıkıntı) mikronize olabilir. Bu, vücudun onları daha kolay emmesini sağlar.

Topuk Dikeni Tedavisinde ESWT'nin Avantajları:

  • Non-invazivdir: Herhangi bir cerrahi kesi veya enjeksiyon gerektirmez.
  • Yan Etki Riski Düşüktür: Doğru uygulandığında ciddi yan etki riski minimaldir. Uygulama sırasında hafif bir rahatsızlık hissedilebilir ancak genellikle iyi tolere edilir.
  • Hızlı ve Etkili Olabilir: Birçok hasta, birkaç seanstan sonra ağrılarında belirgin bir azalma ve fonksiyonlarında iyileşme hisseder.
  • Uzun Süreli Rahatlama Potansiyeli: Altta yatan iyileşme süreçlerini tetiklediği için uzun vadeli ağrı kontrolü sağlayabilir.
  • Diğer Tedavilerle Birlikte Kullanılabilir: ESWT, fizik tedavi, tabanlık kullanımı ve egzersiz programları ile birlikte yapılabilir.

A life'ta Topuk Dikeni Tedavi Yaklaşımı

A Life Sağlık Grubu olarak, topuk dikeni tedavisinde temel yaklaşımımız, hastalarımızın ihtiyaçlarını ön planda tutmaktır. Biz, bütüncül ve kişiye özel çözümler sunuyoruz. Bu çözümler, hastalarımızın yaşam kalitelerini artırmayı hedefler. Amacımız, sadece semptomları gidermek değil, aynı zamanda altta yatan nedenleri ele alarak uzun vadeli rahatlama sağlamaktır.

Tedavi Sürecimizin Temel Taşları:

  • Modern ve Etkili Tedavi Seçenekleri: A Life Sağlık Grubu olarak, topuk dikeni tedavisinde kanıtlanmış modern teknolojileri kullanıyoruz

    • Lazer Tedavisi (LLLT): İltihabı azaltma, ağrıyı giderme ve doku iyileşmesini hızlandırma amacıyla uygulanır.
    • ESWT (Ekstrasorporeal Şok Dalga Terapisi): Yüksek enerjili ses dalgalarıyla doku iyileşmesini uyararak ağrıyı azaltmada etkili bir yöntemdir.
  • Cerrahi Tedavi (Son Çare): Cerrahi tedavi, diğer yöntemlerle iyi sonuç alınamadığında düşünülür. Bu, hastanın yaşam kalitesini çok etkileyen nadir durumlardadır. Bu karar, detaylı bir değerlendirme sonucunda hasta ile birlikte alınır.

  • Multidisipliner Yaklaşım: Gerekli durumlarda, hastalarımızın tedavisinde fizyoterapistler, rehabilitasyon uzmanları ve diğer doktorlarla birlikte çalışırız.

  • Hasta Eğitimi ve Takip: Tedavi sürecinde hastalarımızı aktif olmaya teşvik ederiz. Tedavi yöntemleri ve evde yapabilecekleri destekleyici önlemler hakkında bilgi veririz. Tedavi sonrası düzenli takip ile iyileşme süreci yakından izlenir.

A Life Sağlık Grubu'nun amacı, topuk dikeni sorunu olan hastaların ağrılarını iyi bir şekilde yönetmektir. Ayrıca, hastaların fonksiyonel kapasitelerini artırmak ve daha konforlu, aktif bir yaşam sürmelerine yardımcı olmaktır. Deneyimli uzman kadromuz ve modern tedavi olanaklarımızla, topuk dikeni sorununuza kalıcı çözümler sunmak için buradayız.

Tıbbi İçerik Onay Bilgisi

Bu içerik, A Life Sağlık Grubu Genel Cerrahi birimi uzmanları tarafından tıbbi literatür ve güncel cerrahi protokoller ışığında incelenmiş ve onaylanmıştır.


Son Güncelleme: Aralık 2025 Doktor Profillerimizi Ziyaret Edin
A Life Tıbbi Yayın Kurulu tarafından hazırlanmıştır.

Son Güncelleme: 7 Şubat 2026 21:56

Yayınlanma Tarihi: 24 Ağustos 2024 23:13

Topuk Dikeni Tedavisi

Tedavi Rehberi Bilgilendirme Formu

Araştırma Yaptığınız Konu ve Hastalık Hakkında Uzman Hekimlerimize Danışarak Sizlere Geri Dönüş Sağl

İlgili Üniteler
Benzer İçerikler

Yardıma mı ihtiyacınız var ?

7/24 tüm soru ve sorunlarınız için buradayız.