Menenjiom

Menenjiom Nedir?

Menenjiom, beyni ve omuriliği çevreleyen zarlardan (meninksler) kaynaklanan, genellikle iyi huylu bir tümördür. Yavaş büyüyen bu tümörler, çoğu zaman hiçbir belirti göstermez ve rutin beyin görüntülemelerinde tesadüfen keşfedilir. Ancak bazı durumlarda, menenjiom büyüyerek beyne baskı yapabilir ve çeşitli nörolojik sorunlara yol açabilir.

A Life Sağlık Grubu, deneyimli nöroşirürji uzmanları ve ileri tanı yöntemleriyle menenjiomların teşhis ve tedavisinde size en güvenilir ve etkili çözümleri sunuyor.

Menenjiom_Nedir_35015caf.webp

Menenjiom Türleri

Menenjiomlar, beyin ve omuriliği saran zarlardan kaynaklanan tümörlerdir. Çoğunlukla iyi huyludurlar, ancak nadiren kötü huylu da olabilirler.

Menenjiomlar farklı özelliklere göre sınıflandırılabilir:

1. Dereceye Göre:

Dünya Sağlık Örgütü (DSÖ), menenjiomları büyüme hızlarına ve tekrarlama olasılıklarına göre 3 dereceye ayırır:

  • Derece 1 (İyi Huylu): En yaygın türdür (%90). Yavaş büyür ve genellikle tekrarlamaz.
  • Derece 2 (Atipik): Daha hızlı büyür ve tekrarlama olasılığı daha yüksektir.
  • Derece 3 (Malign/Anaplastik): Nadir görülen, hızlı büyüyen ve agresif bir türdür. Hızla yayılabilir ve tedaviye rağmen tekrarlama olasılığı yüksektir.

2. Konuma Göre:

Menenjiomlar, bulundukları yere göre de isimlendirilir:

  • Konveksital Menenjiomlar: Beyin yüzeyinde bulunur.
  • Parafalksin Menenjiomlar: Beynin iki yarım küresi arasındaki boşlukta bulunur.
  • Sfenoid Kanat Menenjiomları: Kafatasının tabanında, gözün arkasında bulunur.
  • Olfaktör Oluk Menenjiomları: Burun boşluğunun üst kısmında bulunur.
  • Posterior Fossa Menenjiomları: Beyincik ve beyin sapının bulunduğu bölgede bulunur.
  • Spinal Menenjiomlar: Omurilikte bulunur.

3. Histolojik Alt Türlere Göre:

Mikroskop altında incelendiğinde, menenjiomlar farklı hücresel özelliklere sahip olabilir. Bu alt türler arasında:

  • Meningotelyal Menenjiomlar: En yaygın alt türdür.
  • Fibroblastik Menenjiomlar: İçerisinde lifli doku bulunur.
  • Tranzisyonel (Karışık) Menenjiomlar: Meningotelyal ve fibroblastik özelliklerin karışımını gösterir.
  • Psammomatöz Menenjiomlar: Kalsiyum birikimleri (psammoma cisimcikleri) içerir.
  • Anjiyomatöz Menenjiomlar: Bol miktarda kan damarı içerir.
  • Mikrosisttik Menenjiomlar: Küçük kistler içerir.
  • Sekreter Menenjiomlar: Sıvı salgılar.
  • Kordoid Menenjiomlar: Beyin omurilik sıvısı üreten hücrelere benzer hücrelerden oluşur.
  • Berrak Hücreli Menenjiomlar: Mikroskop altında berrak görünen hücrelerden oluşur.

Beyinde Menenjiom Belirtileri​

Menenjiomlar, beyin ve omuriliği saran zarlardan (meninksler) kaynaklanan genellikle iyi huylu tümörlerdir. Yavaş büyürler ve çoğu zaman hiçbir belirtiye neden olmazlar. Ancak, büyüdükçe beyne veya omuriliğe baskı yaparak çeşitli belirtilere yol açabilirler.

Menenjiom belirtileri, tümörün bulunduğu yere ve boyutuna bağlı olarak değişebilir. En sık görülen belirtiler şunlardır:

  • Baş ağrısı: Sık sık ve şiddetli baş ağrıları, özellikle sabahları daha kötü olan baş ağrıları
  • Görme sorunları: Bulanık görme, çift görme, görme alanında kayıplar
  • İşitme sorunları: İşitme kaybı, çınlama
  • Koku alma sorunları: Koku alma duyusunda azalma veya kayıp
  • Denge sorunları: Baş dönmesi, denge kaybı
  • Konuşma sorunları: Konuşmada zorluk, kelimeleri bulmada zorluk
  • Hafıza sorunları: Unutkanlık, konsantrasyon güçlüğü
  • Kişilik değişiklikleri: Sinirlilik, depresyon, anksiyete
  • Nöbetler: Kontrolsüz kasılmalar
  • Uyuşma veya karıncalanma: Vücudun belirli bölgelerinde uyuşma veya karıncalanma hissi
  • Kas güçsüzlüğü: Vücudun belirli bölgelerinde güçsüzlük veya felç

Menenjiom Nedenleri

Menenjiomların kesin nedeni henüz tam olarak bilinmemektedir. Ancak, araştırmalar bazı faktörlerin menenjiom gelişme riskini artırabileceğini göstermektedir:

1. Genetik Faktörler:

  • Aile Öyküsü: Ailesinde menenjiom öyküsü olan kişilerde, bu tümörü geliştirme riski daha yüksektir.
  • Genetik Bozukluklar: Nörofibromatozis tip 2 gibi bazı genetik bozukluklar, menenjiom riskini artırabilir.

2. Radyasyona Maruz Kalma:

  • Tıbbi Radyasyon: Baş ve boyun bölgesine uygulanan radyasyon tedavisi, menenjiom riskini artırabilir.
  • Çevresel Radyasyon: Radon gazı gibi çevresel radyasyona maruz kalmak da riski artırabilir.

3. Hormonal Faktörler:

  • Kadın Cinsiyeti: Menenjiomlar kadınlarda daha sık görülür. Bu durum, kadınlık hormonlarının (özellikle progesteron) tümör gelişiminde rol oynayabileceğini düşündürmektedir.
  • Gebelik: Gebelik sırasında menenjiomların büyüme hızının artabileceği gözlemlenmiştir.

4. Diğer Faktörler:

  • Kafa Travması: Bazı araştırmalar, kafa travmasının menenjiom riskini artırabileceğini öne sürmektedir.
  • Obezite: Obezite, menenjiom riskinin artmasıyla ilişkilendirilmiştir.

Önemli Notlar:

  • Bu faktörlere maruz kalmak, herkesin menenjiom geliştireceği anlamına gelmez.
  • Çoğu menenjiom vakasında, neden belirlenemez.
  • Menenjiomlar genellikle yavaş büyür ve çoğu zaman hiçbir belirtiye neden olmazlar.

A Life Sağlık Grubu olarak, menenjiom ve diğer beyin tümörleri konusunda deneyimli beyin cerrahlarımız ve son teknoloji ekipmanlarımız ile hizmet vermekteyiz.

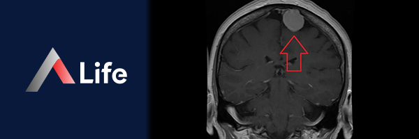
Menenjiom Teşhisi

A Life Sağlık Grubu olarak, menenjiom teşhisi konusunda size bilgi vermekten mutluluk duyarız. Menenjiomların çoğu yavaş büyüdüğü ve genellikle belirti vermediği için teşhisleri bazen zor olabilir. Ancak, belirtiler ortaya çıktığında veya rutin bir beyin taraması sırasında şüpheli bir bulguya rastlandığında, doktorunuz menenjiom tanısı koymak için bir dizi test isteyebilir.

Menenjiom Teşhisinde Kullanılan Yöntemler

  1. Nörolojik Muayene:

Doktorunuz, öncelikle detaylı bir nörolojik muayene yaparak reflekslerinizi, kas gücünüzü, denge ve koordinasyonunuzu, görme, işitme ve diğer duyularınızı değerlendirecektir. Bu muayene, beynin hangi bölgesinin etkilenmiş olabileceği hakkında bilgi verir.

  1. Görüntüleme Testleri:
  • Manyetik Rezonans Görüntüleme (MR): Menenjiom teşhisinde en sık kullanılan görüntüleme yöntemidir. MR, beyin ve omuriliğin detaylı görüntülerini oluşturarak tümörün yerini, boyutunu ve çevre dokularla ilişkisini gösterir.
  • Bilgisayarlı Tomografi (BT): MR kadar detaylı olmasa da, BT taraması da menenjiomları tespit edebilir. Bazı durumlarda, BT anjiyografi gibi özel BT teknikleri kullanılabilir.
  1. Biyopsi:

Görüntüleme testleri sonucunda menenjiom şüphesi varsa, tanıyı kesinleştirmek için biyopsi gerekebilir. Biyopsi, tümörden küçük bir doku örneği alınarak mikroskop altında incelenmesi işlemidir. Biyopsi, stereotaktik biyopsi gibi minimal invaziv yöntemlerle veya ameliyat sırasında yapılabilir.

  1. Diğer Testler:
  • Anjiyografi: Tümörün kan damarlarıyla ilişkisini değerlendirmek için anjiyografi yapılabilir.
  • Görme Alanı Testi: Görmeyle ilgili belirtiler varsa, görme alanı testi yapılabilir.
  • İşitme Testi: İşitmeyle ilgili belirtiler varsa, işitme testi yapılabilir.

A Life Sağlık Grubu'nda Menenjiom Teşhisi

A Life Sağlık Grubu olarak, menenjiom teşhisi ve tedavisi konusunda deneyimli nöroloji uzmanlarımız ve son teknoloji görüntüleme cihazlarımız ile hizmet vermekteyiz.

 

menenjiom_mr_g__r__nt__s______e6ddc523.webp

Menenjiom Tedavisi

Menenjiomların tedavisi, tümörün boyutuna, yerine, büyüme hızına ve hastanın genel sağlık durumuna bağlı olarak değişir.

Menenjiom Tedavi Seçenekleri

  1. Gözlem:
  • Küçük ve belirti vermeyen menenjiomlar için, "bekle ve gör" yaklaşımı benimsenebilir.
  • Bu durumda, tümörün büyüme hızı düzenli olarak MR görüntüleme ile takip edilir.
  • Tümör büyümeye başlarsa veya belirtiler ortaya çıkarsa, tedaviye başlanır.
  1. Cerrahi:
  • Menenjiomların tedavisinde en sık kullanılan yöntemdir.
  • Ameliyatın amacı, tümörü mümkün olduğunca tamamen çıkarmaktır.
  • Tümörün yerine ve boyutuna bağlı olarak, açık cerrahi, minimal invaziv cerrahi veya robotik cerrahi teknikleri kullanılabilir.
  • Cerrahi sonrası, bazı hastalarda radyoterapi gerekebilir.
  1. Radyoterapi:
  • Tümörün tamamen çıkarılamaması durumunda veya cerrahi riskinin yüksek olduğu hastalarda radyoterapi uygulanabilir.
  • Radyoterapi, tümörü küçültmek, büyümesini durdurmak veya tekrarlama riskini azaltmak için kullanılır.
  • Stereotaktik radyocerrahi, tümöre yüksek dozda radyasyon vererek çevre dokulara zarar vermeden tedavi sağlayan bir radyoterapi yöntemidir.
  1. Kemoterapi:
  • Menenjiomların tedavisinde kemoterapi nadiren kullanılır.
  • Ancak, bazı agresif menenjiom türlerinde veya tekrarlayan tümörlerde kemoterapi bir seçenek olabilir.

Menenjiom Ameliyatı​

Menenjiom ameliyatı, beyin veya omurilikte bulunan menenjiom adı verilen tümörün cerrahi olarak çıkarılması işlemidir. Bu ameliyat, tümörün neden olduğu belirtileri hafifletmek, tümörün büyümesini durdurmak veya tamamen ortadan kaldırmak amacıyla yapılır.

Menenjiomların çoğu yavaş büyür ve belirti vermez. Bu nedenle, küçük ve belirti vermeyen menenjiomlar genellikle takip edilir ve hemen ameliyat gerektirmez.

Ancak, aşağıdaki durumlarda ameliyat önerilebilir:

  • Tümörün boyutu büyükse ve beyne veya omuriliğe baskı yapıyorsa
  • Tümör hızla büyüyorsa
  • Tümör belirtilere neden oluyorsa (baş ağrısı, görme sorunları, nöbetler gibi)
  • Tümör kötü huyluysa (nadir görülür)

Menenjiom ameliyatı, beyin cerrahı tarafından genel anestezi altında yapılır. Ameliyat sırasında, cerrah kafatasında bir kesi yapar ve beyne ulaşır. Mikroskop ve mikrocerrahi aletleri kullanarak tümörü çevre dokulardan dikkatlice ayırır ve çıkarır. Ameliyatın süresi, tümörün boyutuna, yerine ve karmaşıklığına bağlı olarak değişebilir.

A Life Sağlık Grubu olarak, menenjiom ameliyatları konusunda deneyimli beyin cerrahlarımız ve son teknoloji ekipmanlarımız ile hizmet vermekteyiz.

Menenjiom_Ameliyat______b53f2d2b.webp

A life'ta Menenjiom Tedavisi

A Life Sağlık Grubu, menenjiomların teşhis ve tedavisinde uzmanlaşmış deneyimli nöroşirürji uzmanlarına ve ileri teknolojiye sahiptir.

  • Uzman Beyin Cerrahları: Alanında uzman ve deneyimli beyin cerrahlarımız, menenjiom ameliyatlarında en son teknikleri kullanır.
  • Son Teknoloji Ekipmanlar: En son teknoloji ameliyat ekipmanları ve görüntüleme cihazları kullanarak, güvenli ve etkili bir ameliyat deneyimi sunuyoruz.
  • Modern Ameliyathaneler: Hijyenik ve modern ameliyathanelerimiz, enfeksiyon riskini minimize eder ve hasta güvenliğini sağlar.
  • Yoğun Bakım Ünitesi: Ameliyat sonrası gerektiğinde yoğun bakım ünitemizde hastalarımızın takibi ve tedavisi uzman ekiplerimiz tarafından yapılır.
  • Kişiselleştirilmiş Tedavi: Her hastanın ihtiyaçları farklıdır. Uzmanlarımız, size özel bir tedavi planı oluşturmak için detaylı bir değerlendirme yapar.
  • Hasta Odaklı Yaklaşım: Ameliyat öncesinde, ameliyat sırasında ve ameliyat sonrasında hastalarımızın yanında oluyor, tüm sorularını yanıtlıyor ve endişelerini gideriyoruz.

A Life Sağlık Grubu olarak, menenjiom ameliyatı ve diğer beyin cerrahisi hizmetlerimiz hakkında daha fazla bilgi edinmek için web sitemizi ziyaret edebilir veya kliniğimizi arayabilirsiniz.

Menenjiom Hakkında Sıkça Sorulan Sorular

Kalsifiye Menenjiom Nedir​?

Kalsifiye menenjiom, menenjiom adı verilen beyin tümörünün bir türüdür. Menenjiomlar, beyin ve omuriliği saran zarlardan kaynaklanan, genellikle iyi huylu tümörlerdir. "Kalsifiye" terimi, tümör içinde kalsiyum birikimleri olduğunu ifade eder. Bu kalsiyum birikimleri, röntgen, BT veya MR gibi görüntüleme testlerinde beyaz lekeler olarak görünür.

Menenjiom Ameliyatı Kaç Saat Sürer​?

Menenjiom ameliyatının süresinin birçok faktöre bağlı olarak değişebileceğini belirtmek isteriz.

Ameliyat süresini etkileyen faktörler:

  • Tümörün boyutu ve yeri: Büyük ve ulaşılması zor bölgelerdeki tümörlerin ameliyatı daha uzun sürebilir.
  • Tümörün çevre dokularla ilişkisi: Tümörün kritik sinirler veya kan damarlarına yakın olması, ameliyatı daha hassas ve zaman alıcı hale getirebilir.
  • Cerrahın deneyimi: Deneyimli bir cerrah, ameliyatı daha hızlı ve etkili bir şekilde gerçekleştirebilir.
  • Hastanın genel sağlık durumu: Hastanın yaşı ve genel sağlık durumu da ameliyat süresini etkileyebilir.

Genel olarak, menenjiom ameliyatları 2 ila 6 saat arasında sürebilir. Ancak, bazı durumlarda ameliyat daha uzun veya daha kısa sürebilir.

Ameliyat öncesinde, cerrahınız size ameliyatın tahmini süresi hakkında bilgi verecektir.

A Life Sağlık Grubu olarak, menenjiom ameliyatları konusunda deneyimli beyin cerrahlarımız ve son teknoloji ekipmanlarımız ile hizmet vermekteyiz. Ameliyat öncesi ve sonrası süreçlerde size destek oluyor ve tüm sorularınızı yanıtlıyoruz.

Menenjiom ameliyatı hakkında daha fazla bilgi edinmek için web sitemizi ziyaret edebilir veya kliniğimizi arayabilirsiniz.

Menenjiom Ameliyatı Sonrası İyileşme​

Menenjiom ameliyatı sonrası iyileşme sürecinin, tümörün yerine, boyutuna, ameliyatın türüne ve hastanın genel sağlık durumuna bağlı olarak değişiklik gösterebileceğini belirtmek isteriz. Ancak, genel olarak hastalarımızın ameliyat sonrası iyileşme sürecinde neler beklemeleri gerektiği konusunda bilgi verebiliriz.

Hastanede Kalış Süresi:

  • Çoğu hasta, menenjiom ameliyatından sonra 2 ila 5 gün hastanede kalır.
  • Bu süre zarfında, nörolojik durumunuz yakından takip edilir ve ağrı kontrolü sağlanır.

Ameliyat Sonrası İlk Günler:

  • Ameliyattan sonra baş ağrısı, bulantı ve kusma gibi şikayetleriniz olabilir. Bu şikayetler genellikle ilaçlarla kontrol altına alınır.
  • Ameliyat bölgesinde şişlik ve morarma olabilir.
  • Yorgunluk ve halsizlik hissedebilirsiniz.

İlk Hafta:

  • Genellikle ilk hafta içinde ayağa kalkıp yürümeye başlayabilirsiniz.
  • Doktorunuzun önerilerine göre fizik tedavi ve rehabilitasyon programına başlayabilirsiniz.
  • Beslenmenize dikkat etmeli ve bol sıvı tüketmelisiniz.
  • İlaçlarınızı düzenli olarak kullanmalısınız.

İlk Ay:

  • Şişlik ve morluklar azalır.
  • Enerji seviyeniz artar ve günlük aktivitelerinizi daha rahat yapabilirsiniz.
  • Doktorunuzun kontrolünde, işinize veya sosyal hayatınıza yavaş yavaş geri dönebilirsiniz.

Uzun Dönem İyileşme:

  • Tam iyileşme süreci birkaç ay sürebilir.
  • Düzenli doktor kontrollerine gitmeniz ve doktorunuzun önerilerine uymanız önemlidir.
  • Fizik tedavi ve rehabilitasyon programına devam etmeniz gerekebilir.
  • Bazı hastalarda, ameliyat sonrası nörolojik defisitler (görme kaybı, konuşma bozukluğu gibi) kalıcı olabilir.
Menenjiom Ameliyatı Sonrası Komplikasyonlar​

Her cerrahi işlemde olduğu gibi, menenjiom ameliyatı da bazı riskler taşır. Ancak, deneyimli bir beyin cerrahı tarafından gerçekleştirilen ameliyatlarda bu riskler oldukça düşüktür.

Menenjiom Ameliyatı Sonrası Olası Komplikasyonlar:

  • Kanama: Ameliyat sırasında veya sonrasında beyin dokusunda kanama olabilir. Bu durum, acil müdahale gerektirebilir.
  • Enfeksiyon: Ameliyat bölgesinde veya beyin zarlarında enfeksiyon gelişebilir. Antibiyotik tedavisi ile kontrol altına alınabilir.
  • Beyin ödemi: Ameliyat sonrası beyinde şişme (ödem) oluşabilir. Bu durum, nörolojik fonksiyonlarda geçici bozulmalara yol açabilir.
  • Sinir hasarı: Ameliyat sırasında, tümöre yakın sinirler hasar görebilir. Bu durum, görme kaybı, işitme kaybı, yüz felci, kol veya bacaklarda güçsüzlük gibi nörolojik sorunlara neden olabilir.
  • Beyin omurilik sıvısı kaçağı: Ameliyat sonrası beyin omurilik sıvısı (BOS) kaçağı olabilir. Bu durum, baş ağrısı, bulantı ve kusma gibi belirtilere yol açabilir.
  • Nöbetler: Ameliyat sonrası bazı hastalarda nöbetler görülebilir. İlaç tedavisi ile kontrol altına alınabilir.
  • Yara iyileşmesi sorunları: Ameliyat bölgesinde yara iyileşmesi sorunları yaşanabilir.
Menenjiom Hasta Yorumları​

Hasta gizliliğine özen göstererek, genel olarak hastalarımızın ameliyat sonrası yaşam kalitelerindeki olumlu değişiklikleri ve memnuniyetlerini aktarmak isteriz.

Menenjiom Ameliyatı Sonrası Hasta Yorumları:

  • Baş Ağrılarında Azalma: Birçok hastamız, ameliyat sonrası şiddetli baş ağrılarının azaldığını veya tamamen ortadan kalktığını belirtmektedir.
  • Görme ve İşitme Sorunlarında İyileşme: Tümörün görme veya işitme sinirlerine baskı yapması sonucu oluşan görme ve işitme sorunlarında, ameliyat sonrası belirgin iyileşmeler gözlemlenmektedir.
  • Denge ve Koordinasyonun Düzelmesi: Denge sorunları ve koordinasyon bozukluğu yaşayan hastalarımız, ameliyat sonrası bu sorunların azaldığını ve günlük aktivitelerini daha rahat gerçekleştirebildiklerini ifade etmektedir.
  • Nöbetlerin Kontrol Altına Alınması: Menenjiom nedeniyle nöbet geçiren hastalarımızda, ameliyat sonrası nöbet sıklığında azalma ve hatta nöbetlerin tamamen ortadan kalkması gözlemlenmektedir.
  • Yaşam Kalitesinde Artış: Ameliyat sonrası hastalarımızın çoğu, günlük yaşamlarına daha aktif bir şekilde katılabildiklerini, işlerine ve sosyal hayatlarına geri dönebildiklerini ve yaşam kalitelerinin arttığını belirtmektedir.
Menenjiom Öldürür'mü​?

Menenjiomların genellikle iyi huylu tümörler olduğunu ve nadiren hayatı tehdit ettiğini belirtmek isteriz. Ancak, bazı durumlarda menenjiomlar ciddi komplikasyonlara ve hatta ölüme neden olabilir.

Menenjiomların ölümcül olabileceği durumlar:

  • Kötü huylu menenjiomlar: Nadir de olsa, menenjiomlar kötü huylu (kanserli) olabilir. Bu tür menenjiomlar hızlı büyüyebilir ve beyin dokusuna yayılabilir. Tedavi edilmezse, ölümcül olabilirler.
  • Beynin hayati bölgelerine baskı yapan menenjiomlar: Tümörün yeri ve boyutu, ölüm riskini etkiler. Beyin sapı gibi hayati bölgelerde bulunan veya büyük boyutlara ulaşan menenjiomlar, solunum, kalp atışı veya bilinç gibi temel işlevleri kontrol eden beyin merkezlerine baskı yaparak hayati tehlike oluşturabilir.
  • Ameliyat komplikasyonları: Her cerrahi işlemde olduğu gibi, menenjiom ameliyatları da bazı riskler taşır. Kanama, enfeksiyon veya beyin hasarı gibi komplikasyonlar, nadir de olsa ölümcül olabilir.

Menenjiomların ölüm riski, tümörün derecesine, yerine, boyutuna ve hastanın genel sağlık durumuna bağlı olarak değişir.

  • Derece 1 menenjiomlar: Genellikle iyi huyludur ve ölüm riski çok düşüktür.
  • Derece 2 ve 3 menenjiomlar: Daha agresiftir ve tedavi edilmezse ölüm riski daha yüksektir.

Menenjiom tanısı alan hastaların yaşam süresi, birçok faktöre bağlı olarak değişir.

  • Tümörün derecesi: Derece 1 menenjiomlarda yaşam süresi genellikle normalden farksızdır.
  • Tümörün yeri ve boyutu: Hayati beyin bölgelerine baskı yapan veya büyük boyutlu tümörlerde yaşam süresi kısalabilir.
  • Hastanın yaşı ve genel sağlık durumu: Yaşlı ve genel sağlık durumu kötü olan hastalarda yaşam süresi daha kısa olabilir.
  • Tedavinin etkinliği: Erken teşhis ve etkili tedavi, yaşam süresini uzatabilir.
Menenjiom İle Uyumlu Lezyon​ Tanısı

A Life Sağlık Grubu olarak, "menenjiom ile uyumlu lezyon" ifadesinin radyolojik olarak menenjioma benzeyen ancak kesin tanısı için biyopsi veya ameliyat gerektiren bir beyin lezyonunu ifade ettiğini belirtmek isteriz.

Menenjiom ile uyumlu lezyonlar şunlar olabilir:

  • Hemangioperisitom: Menenjlere yakın kan damarlarından kaynaklanan nadir bir tümör türüdür. Görüntülemede menenjioma benzeyebilir, ancak daha agresif bir seyir izleyebilir.
  • Soliter fibröz tümör: Dura mater (beyin zarı) kaynaklı nadir bir tümördür. İyi huylu veya kötü huylu olabilir. Görüntülemede menenjioma benzeyebilir, ancak histolojik olarak farklıdır.
  • Metastatik tümörler: Vücudun başka bir yerinden beyne yayılan kanserler, bazen menenjioma benzer şekilde görülebilir.
  • Granülomatöz lezyonlar: Enfeksiyon veya iltihaplanma sonucu oluşan lezyonlar, nadiren menenjioma benzer şekilde görülebilir.
  • Vasküler lezyonlar: Bazı damarsal anomaliler (kavernöz malformasyonlar gibi), görüntülemede menenjioma benzeyebilir.

Menenjiom ile uyumlu lezyonun kesin tanısı için:

  • Detaylı radyolojik inceleme: MR ve BT gibi görüntüleme yöntemleri ile lezyonun özellikleri değerlendirilir.
  • Biyopsi: Lezyondan doku örneği alınarak mikroskop altında incelenir.
  • Ameliyat: Bazı durumlarda, lezyonun tamamen çıkarılması ve patolojik inceleme yapılması gerekebilir.

A Life Sağlık Grubu olarak, menenjiom ile uyumlu lezyonların teşhisi ve tedavisi konusunda deneyimli beyin cerrahlarımız ve son teknoloji ekipmanlarımız ile hizmet vermekteyiz.

Unutmayın: Bu bilgiler sadece genel bilgilendirme amaçlıdır ve tıbbi tavsiye yerine geçmez. Menenjiom ile uyumlu bir lezyonunuz varsa, lütfen bir nöroloji uzmanına danışın.

Tıbbi İçerik Onay Bilgisi

Bu içerik, A Life Sağlık Grubu Genel Cerrahi birimi uzmanları tarafından tıbbi literatür ve güncel cerrahi protokoller ışığında incelenmiş ve onaylanmıştır.

İlgili Branş Hekimlerimiz:

Son Güncelleme: Aralık 2025 Doktor Profillerimizi Ziyaret Edin
A Life Tıbbi Yayın Kurulu tarafından hazırlanmıştır.

Son Güncelleme: 17 Kasım 2025 12:32

Yayınlanma Tarihi: 13 Aralık 2024 08:06

Menenjiom

Tedavi Rehberi Bilgilendirme Formu

Araştırma Yaptığınız Konu ve Hastalık Hakkında Uzman Hekimlerimize Danışarak Sizlere Geri Dönüş Sağl

İlgili Bölümler
İlgili Hekimler
Benzer İçerikler

Yardıma mı ihtiyacınız var ?

7/24 tüm soru ve sorunlarınız için buradayız.