E-Sonuç E-Sonuç Telefon 0 (850) 888 54 33
Menü
Randevu E-Randevu

Adenokarsinom Nedir ?

Adenokarsinom Nedir?

Adenokarsinom, vücuttaki salgı bezlerini oluşturan veya bu bezlerin işlevini gören epitel hücrelerinden (bez hücrelerinden) kaynaklanan bir kanser türüdür. "Adeno" Latincede bez, "karsinom" ise kanser anlamına gelir.

Vücudumuzdaki birçok organ, yüzeyini korumak veya sindirime yardımcı olmak gibi görevlerle mukus, enzim veya hormon salgılayan bez hücreleriyle kaplıdır. Adenokarsinom, bu hücrelerin kontrolsüz bir şekilde çoğalmasıyla başlar.

Adenokarsinom En Sık Hangi Organlarda Görülür?

Adenokarsinom, vücuttaki bez (glandüler) hücrelerinden köken alan ve mukus, sindirim enzimi veya hormon gibi salgılar üreten dokularda gelişen bir malign tümör türüdür. Epitel dokunun salgı üretme kapasitesine sahip olduğu hemen her organda ortaya çıkabilen bu kanser türü, tüm kanser vakalarının büyük bir çoğunluğunu oluşturur.

A Life Sağlık Grubu Onkoloji ve Patoloji birimlerimizde, ileri evre genetik haritalama teknikleriyle teşhis ettiğimiz adenokarsinom vakaları için hazırladığımız yaygın organ tutulum rehberini aşağıda bulabilirsiniz.

ORGAN ROLÜ VE KÖKENİ DURUM
Akciğer Adenokarsinom Dış kısımlarda en yaygın türdür. %40+
Kolon Adenokarsinom Vakaların %95'i bu türdür. Çok Yaygın
Pankreas Adenokarsinom Kanal hücrelerinden kaynaklanır. Agresif
Prostat Adenokarsinom Bez dokusunda başlar. Yaygın
A LIFE SAĞLIK GRUBU

Adenokarsinom Belirtileri Nelerdir?

Belirtiler, kanserin hangi organda başladığına ve evresine göre tamamen değişiklik gösterir. Ancak genel olarak şu sinyallere dikkat edilmelidir:

  • Akciğerde: Geçmeyen öksürük, kanlı balgam, nefes darlığı.

  • Kolonda: Dışkılama alışkanlıklarında değişiklik (kabızlık/ishal), dışkıda kan, karın ağrısı.

  • Memede: Ele gelen sert kitle, meme başı akıntısı veya ciltte çekinti.

  • Prostatta: İdrar yapma zorluğu, sık idrara çıkma, idrarda kan.

  • Genel: Açıklanamayan kilo kaybı, kronik yorgunluk ve iştahsızlık.

Adenokarsinom Neden Olur?

Adenokarsinom, vücuttaki bez hücrelerinin (glandüler hücreler) DNA'sında meydana gelen hatalar zinciri sonucunda oluşur. Normalde bu hücreler; mukus, enzim veya hormon salgılamak gibi belirli görevleri yerine getirmek için disiplinli bir şekilde bölünürler. Ancak "kodlama" bozulduğunda, hücreler ne zaman duracağını unutur ve kontrolsüzce çoğalarak tümörleri oluşturur.

Bu "kodlama hatalarına" yani mutasyonlara yol açan faktörler; genetik mirastan yaşam tarzına, çevresel maruziyetten kronik hastalıklara kadar geniş bir yelpazeye yayılır.

DNA Mutasyonları

Kanserin ana kaynağı, hücrenin büyümesini ve bölünmesini kontrol eden genlerin (proto-onkogenler ve tümör baskılayıcı genler) hasar görmesidir.

  • Kazanılmış Mutasyonlar: Hayat boyu maruz kalınan etkenlerle (sigara, radyasyon, kimyasallar) sonradan oluşur. Çoğu adenokarsinom bu tiptedir.

  • Kalıtsal Mutasyonlar: Aileden miras kalan genetik bozukluklardır. Örneğin, BRCA1 ve BRCA2 genlerindeki mutasyonlar meme ve pankreas adenokarsinomu riskini artırır.

Organ Spesifik Tetikleyiciler

Adenokarsinom gelişiminde etiyolojik faktörler, hedef organın biyokimyasal yapısına ve maruz kaldığı karsinojen türüne göre farklılık gösterir. Onkolojik epidemiyoloji verilerine göre, genetik yatkınlığın ötesinde değiştirilebilir yaşam tarzı faktörleri ve kronik inflamatuar süreçler (Örn: H. pylori enfeksiyonu veya Barrett özofagusu) bu tümör türünün patogenezinde birincil rol oynamaktadır.

ORGAN BAŞLICA NEDENLER RİSK ANALİZİ
Akciğer Sigara, Radon, Asbest Çevresel
Kolon İşlenmiş Gıda, Obezite Metabolik
Mide H. Pylori, Tuzlu Gıdalar Enfeksiyöz
Özofagus Kronik Reflü, Sigara Mukozal
Meme/Prostat Hormonlar, Yaş, Genetik Hormonal
A LIFE SAĞLIK GRUBU

A Life Sağlık Grubu Onkoloji birimlerimizde, hastalarımızın risk profilini bu parametrelere göre analiz ederek kişiselleştirilmiş tarama programları kurguluyoruz.

Kronik Enflamasyon ve Tahriş

Vücudun bir bölgesinin uzun süre iltihaplı kalması, hücrelerin sürekli kendini yenilemeye çalışmasına neden olur. Bu hızlı hücre döngüsü sırasında hata yapma (mutasyon) riski artar.

  • Barrett Özofagusu: Sürekli mide asidine maruz kalan yemek borusu hücrelerinin bez hücresine dönüşmesi, yemek borusu adenokarsinomuna giden yolu açar.

  • Ülseratif Kolit: Kalın bağırsaktaki uzun süreli iltihaplanma, kolon adenokarsinomu riskini ciddi oranda yükseltir.

Çevresel ve Kimyasal Faktörler

Günlük hayatta veya iş ortamında maruz kalınan bazı maddeler "karsinojen" olarak işlev görür:

  • Aflatoksinler: Bazı küflenmiş gıdalarda bulunan zehirler.

  • Endüstriyel Kimyasallar: Boya, plastik ve tekstil üretiminde kullanılan bazı çözücüler.

  • İyonize Radyasyon: Yüksek dozda radyasyona maruz kalmak DNA yapısını doğrudan bozar.

Adenokarsinom Teşhisi Nasıl Yapılır?

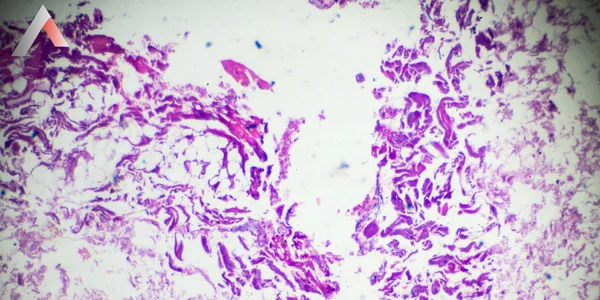
Adenokarsinom teşhisi, modern tıbbın dedektiflik hikayesi gibidir; belirtilerin izini sürerken hücrelerin kimlik kartına (patoloji) bakana kadar kesin bir yargıya varılmaz. Teşhis süreci, sadece kanserin varlığını kanıtlamayı değil, aynı zamanda köken aldığı organı, saldırganlık düzeyini ve genetik haritasını belirlemeyi amaçlar.

İşte klinik pratikte uygulanan tanı basamakları:

Klinik Değerlendirme ve Fizik Muayene

Süreç genellikle hastanın şikayetleriyle başlar. Doktor, belirtilerin süresini ve şiddetini sorgular.

  • Anamnez (Öykü): Ailede kanser öyküsü, sigara kullanımı veya çevresel maruziyetler değerlendirilir.

  • Fizik Muayene: Ele gelen kitleler (meme, lenf nodları), karın hassasiyeti veya akciğer seslerindeki anormallikler incelenir.

Adenokarsinom Tanı Yöntemleri

Adenokarsinom ve diğer malignite şüphesi taşıyan vakalarda, doğru tanı ve evreleme süreci, tedavi stratejisinin temel taşını oluşturur. Radyolojik ve endoskopik görüntüleme protokollerinde; moleküler düzeyde analiz sağlayan hibrit teknolojiler (PET-MR gibi) ve yapay zeka destekli görüntü işleme algoritmaları, tümörün karakterizasyonunda %98’e varan doğruluk payı sunmaktadır.

YÖNTEM KULLANIM ALANI ÖZELLİK
BT Akciğer, Karın ve Pelvis Tarama Detaylı Kesitler
MR Doku, Beyin ve Omurga İnceleme Yumuşak Doku
PET-BT Tümör Aktivite ve Metastaz Tespiti Metabolik Harita
Endoskopi Mide ve Bağırsak Görüntüleme Biyopsi İmkanı
A LIFE SAĞLIK GRUBU

Biyopsi Alınması

Hiçbir görüntüleme yöntemi biyopsi kadar kesin sonuç vermez. Patoloğun mikroskop altında hücreleri "bez yapısı" oluşturup oluşturmadığına göre incelemesi gerekir.

  • İnce İğne Aspirasyonu (İİAB): İnce bir iğne ile hücre örneklerinin çekilmesi.

  • Core (Tru-cut) Biyopsi: Dokunun mimarisini koruyan daha kalın bir örnek alınması.

  • Surgical (Cerrahi) Biyopsi: Kitlenin tamamının veya bir kısmının ameliyatla çıkarılması.

Patolojik ve Moleküler Analiz

Hücrelerin adenokarsinom olduğu anlaşıldıktan sonra "alt kimliği" araştırılır:

  1. İmmünohistokimya (İHK): Hücrelerin üzerindeki protein işaretlerine (CK7, CK20, TTF-1) bakılarak kanserin hangi organdan başladığı bulunur.

  2. Moleküler Testler (Genetik Harita): Özellikle akciğer ve kolon adenokarsinomlarında akıllı ilaç seçimi için genetik mutasyonlar (EGFR, KRAS, ALK, BRAF) taranır.

  3. Likit Biyopsi (Yeni Teknoloji): Kanda dolaşan tümör DNA'sının (ctDNA) tespit edilmesi.

Evreleme: TNM Sistemi

Tedavi planı için kanserin ne kadar yayıldığı TNM formülü ile matematiksel olarak ifade edilir:

  • T (Tumor): Ana tümörün boyutu ve derinliği.

  • N (Node): Yakındaki lenf bezlerine sıçrama durumu.

  • M (Metastasis): Uzak organlara (karaciğer, kemik vb.) yayılım varlığı.

Adenokarsinom Tedavisi Nasıl Yapılır?

Adenokarsinom tedavisi, günümüzde "standart paket" bir uygulama olmaktan çıkıp, tümörün genetik haritasına ve hastanın genel durumuna göre şekillenen kişiselleştirilmiş tıp anlayışına evrilmiştir. Tedavi planı; onkolog, cerrah, radyolog ve patologdan oluşan multidisipliner bir konsey tarafından belirlenir.

İşte adenokarsinom yönetiminde kullanılan temel tedavi modaliteleri:

Cerrahi Müdahale (Lokal Kontrol)

Erken evre adenokarsinomlarda en etkili ve potansiyel olarak küratif (iyileştirici) yöntemdir.

  • Rezeksiyon: Tümörün, çevresindeki bir miktar sağlıklı dokuyla birlikte çıkarılmasıdır.

  • Lenf Nodu Diseksiyonu: Kanserin yayılma ihtimaline karşı komşu lenf bezlerinin temizlenmesi.

  • Minimal İnvaziv Yöntemler: Laparoskopik veya robotik cerrahi ile daha küçük kesilerle operasyon gerçekleştirilebilir.

Kemoterapi (Sistemik Tedavi)

Kanser hücrelerini öldürmek veya büyümelerini durdurmak için ilaçların kullanılmasıdır.

  • Adjuvan Tedavi: Ameliyattan sonra, gözle görülmeyen mikro hücreleri yok etmek için uygulanır.

  • Neoadjuvan Tedavi: Ameliyat öncesi tümörü küçülterek operasyonu kolaylaştırmak için uygulanır.

  • Palyatif Kemoterapi: İleri evrelerde belirtileri hafifletmek ve yaşam süresini uzatmak amacıyla kullanılır.

Radyoterapi (Işın Tedavisi)

Yüksek enerjili X-ışınları veya protonlar kullanılarak kanser hücrelerinin DNA'sının parçalanması işlemidir.

  • Eksternal Radyoterapi: Vücudun dışından tümöre odaklanan ışınlar.

  • Brakiterapi: Radyoaktif kaynağın doğrudan tümörün içine veya yanına yerleştirilmesi.

Akıllı İlaçlar ve İmmünoterapi

Adenokarsinom tedavisinde çığır açan bu yöntemler, sağlıklı hücrelere minimum zarar vermeyi hedefler.

  • Hedefe Yönelik Tedavi (Akıllı İlaçlar): Tümörün büyümesini sağlayan spesifik moleküllere (EGFR, ALK, KRAS mutasyonları) saldırır.

  • İmmünoterapi: Bağışıklık sisteminin kanser hücrelerini tanımasını ve yok etmesini sağlar. Özellikle PD-1/PD-L1 inhibitörleri bu alanda çok etkilidir.

Evreye Göre Tedavi Yaklaşımı

Adenokarsinom tedavisinde başarı, tümörün saptandığı evre ile doğru tedavi modalitesinin (Cerrahi, Onkolojik veya Radyolojik) kusursuz entegrasyonuna bağlıdır. Kişiselleştirilmiş tıp protokollerinde, özellikle Evre 3 ve 4 vakalarda genetik haritalama ve biyobelirteç analizi yapılmadan sistemik tedaviye başlanmaması, sağkalım oranlarını artıran en kritik standarttır.

EVRE KLİNİK DURUM TEDAVİ YAKLAŞIMI
Evre 1-2 Lokalize Tümör Cerrahi + Adjuvan Tedavi
Evre 3 Lenf Tutulumu Kemo + Radyo + Cerrahi
Evre 4 Metastatik Yayılım Akıllı İlaç + İmmünoterapi
A LIFE SAĞLIK GRUBU

A Life Sağlık Grubu Onkoloji Konseyimizde (Tumor Board), her vakayı multidisipliner bir yaklaşımla ele alıyor; cerrahi sınırların güvenliğinden moleküler hedeflere kadar tüm süreci kurumsal protokollerimizle yönetiyoruz.

Adenokarsinom Nedir ?

Tedavi Rehberi Bilgilendirme Formu

Araştırdığınız Hastalık Hakkında Uzman Hekimlerimiz Size Dönüş Sağlasın.

Sıkça Sorulan Sorular

Adenokarsinom ne demek veya adenokarsinom ne demek tıp: "Adeno" (bez) ve "karsinom" (kanser) kelimelerinin birleşimidir. Vücudun iç yüzeylerini örten ve salgı (mukus, enzim, hormon vb.) üreten bez hücrelerinden kaynaklanan kötü huylu tümörleri ifade eder. Adenokarsinoma terimi de aynı anlamda kullanılır.

Adenokarsinom iyi huylu mudur? Hayır. Tıbbi tanım gereği bir karsinomdur, yani kötü huylu bir tümördür. Bez dokusunun iyi huylu (selim) tümörlerine "adenom" denir; ancak adenokarsinom tanısı konulmuşsa bu, hücrelerin kontrolsüz çoğaldığı ve çevre dokulara yayılma potansiyeli taşıdığı anlamına gelir.

  • Orta derecede diferansiye adenokarsinom ne demek: Tümör hücrelerinin hala köken aldığı dokuya benzediğini ve orta hızda geliştiğini gösterir.

  • Az diferansiye adenokarsinom ne demek: Hücrelerin orijinal doku yapısından tamamen uzaklaştığını, daha agresif ve hızlı yayılma eğiliminde olduğunu belirtir.

Akciğer adenokarsinom nedir veya akciğer adenokarsinom: Akciğerin dış kısımlarındaki küçük hava yollarında, mukus üreten hücrelerden gelişen bir kanserdir. Adenokarsinom akciğer kanseri, günümüzde sigara içmeyenlerde ve kadınlarda en sık görülen akciğer kanseri alt tipidir.

Küçük hücreli dışı akciğer kanseri adenokarsinom yaşam süresi ve akciğer adenokarsinom yaşam süresi: Bu süre hastalığın evresine ve genetik mutasyonlara (EGFR, ALK vb.) bağlıdır. Erken evrede yakalandığında başarı oranı çok yüksektir; ancak ileri evrelerde modern immünoterapi ve akıllı ilaçlarla yaşam kalitesi ve süresi önemli ölçüde artırılmaktadır.

Kolon adenokarsinom (bağırsak kanseri), kalın bağırsaktaki bez hücrelerinden köken alır. Kolon adenokarsinom yaşam süresi, tümörün bağırsak duvarını ne kadar geçtiği ve lenf nodlarına yayılıp yayılmadığına göre belirlenir. Erken evrelerde cerrahi ile tam iyileşme mümkündür.

Prostatik asiner adenokarsinom nedir veya asiner adenokarsinom ne demek: Prostat bezinin sıvı üreten "asini" adı verilen keseciklerinden kaynaklanan, prostat kanserinin en yaygın tipidir. Genellikle yavaş ilerleyen bir karaktere sahiptir.

Prostat adenokarsinomu gleason skor 3 3 veya adenokarsinom gleason skor 3 3 6: Bu skor, tümörün düşük dereceli (iyi huylu seyir gösteren) ve agresif olmayan bir yapıda olduğunu gösterir. Toplamda 6 skoruna ulaşan bu vakalar, genellikle çok iyi bir prognoza sahiptir ve bazen sadece takip edilir.

Müsinöz adenokarsinom, tümör hücrelerinin aşırı miktarda müsin (mukus benzeri sıvı) ürettiği özel bir türdür. Genellikle kolon, mide veya yumurtalıklarda görülür ve dokunun yapışkan, sıvımsı bir kitle haline gelmesine neden olur.

Duktal adenokarsinom, salgı bezlerinin kanallarından (duktus) köken alır. En sık görüldüğü yerler pankreas ve meme dokusudur. Özellikle pankreas duktal adenokarsinomu, erken evrede belirti vermediği için dikkatli takip gerektiren bir türdür.

Adenokarsinom metastazı, kanser hücrelerinin kan veya lenf yoluyla köken aldıkları organdan başka bir organa (örneğin akciğerden kemiğe veya kolonun karaciğere) yayılmasıdır. Metastaz olması, hastalığın sistemik bir tedavi (kemoterapi, akıllı ilaç) gerektirdiğini gösterir.

  • Adenokarsinom mide: Mide duvarındaki bezlerden kaynaklanır, erken evrede iştahsızlık ve karın ağrısı ile belirti verebilir.

  • Endometrial adenokarsinom veya endometrium adenokarsinom: Rahim iç zarı kanseridir ve genellikle menopoz sonrası kanamalarla erken teşhis edilebilir. Başarı oranı en yüksek adenokarsinom türlerinden biridir.

Adenokarsinom nos ne demek: "Not Otherwise Specified" (Aksi Belirtilmedikçe) anlamına gelir. Patolojik incelemede kanserin adenokarsinom olduğu kesinleşmiş ancak spesifik bir alt tipi (müsinöz, asiner vb.) henüz tanımlanamamış durumlar için kullanılan teknik bir terimdir.

Adenokarsinom ölümcül müdür: Her kanser gibi adenokarsinom da tedavi edilmediğinde ve ilerlediğinde hayatı tehdit eder. Ancak günümüzde adenokarsinom tedavisi varmı sorusunun yanıtı güçlü bir "evet"tir. Evre 1 ve 2 seviyesindeki vakaların çoğu başarılı cerrahi ve radyoterapi ile tam şifaya kavuşur.

Adenokarsinom tedavisi varmı? Tedavi protokolü; tümörün yerine, evresine ve hastanın genel durumuna göre belirlenir. Cerrahi (tümörün çıkarılması), Radyoterapi (ışın tedavisi), Kemoterapi ve son yıllarda çığır açan "Akıllı İlaçlar" (hedeflenmiş tedaviler) bu sürecin temel taşlarıdır.

Ankara'nın Etimesgut, Pursaklar ve Altındağ bölgelerindeki A Life Sağlık Grubu hastanelerimizde; ileri teknoloji görüntüleme cihazlarımız (3 Tesla MR, PET-CT uyumlu tetkikler), deneyimli patoloji laboratuvarımız ve uzman onkoloji kadromuzla yanınızdayız.

İlgili Bölümler

İlgili Hekimler

Yardıma mı ihtiyacınız var ?

7/24 tüm soru ve sorunlarınız için buradayız.