Pnömotoraks Nedir?

Pnömotoraks (Akciğer Sönmesi)

Pnömotoraks, akciğer zarları arasında hava birikmesi sonucu akciğerin kısmen veya tamamen çökmesi durumudur. Halk arasında "akciğer sönmesi" olarak da bilinen pnömotoraks, ani başlayan göğüs ağrısı ve nefes darlığına neden olabilir.

A Life Sağlık Grubu olarak hazırladığımız bu kapsamlı rehberde, pnömotoraksı derinlemesine ele alacağız. Nedenleri, belirtileri, türleri, tanı yöntemleri, tedavi seçenekleri ve korunma yolları hakkında detaylı bilgi edinerek bu rahatsızlık hakkında farkındalık kazanabilirsiniz.

Pn__motoraks_Nedir_cd158b4a.webp

Pnömotoraks Nedir?

Akciğerlerimiz, göğüs boşluğunda yer alan ve solunum fonksiyonunu gerçekleştiren hayati organlardır. Akciğerleri çevreleyen iki zar tabakası bulunur: visseral plevra (akciğere yapışık olan zar) ve parietal plevra (göğüs duvarına yapışık olan zar). Bu iki zar tabakası arasında plevra boşluğu adı verilen ince bir sıvı tabakası bulunur.

Pnömotoraks, çeşitli nedenlerle plevra boşluğuna hava girmesi ve akciğer üzerinde baskı oluşturarak çökmesine neden olması durumudur. Bu durum, akciğerin solunum fonksiyonunu yerine getirmesini engeller ve ciddi sağlık sorunlarına yol açabilir.

Pn__motoraks_G__r__nt__s___7b08d43a.webp

Pnömotoraks Türleri

Pnömotoraks, nedenlerine ve özelliklerine göre farklı türlerde sınıflandırılabilir:

  • Spontan Pnömotoraks: Herhangi bir dış etken olmaksızın, kendiliğinden gelişen pnömotorakstır.
    • Primer Spontan Pnömotoraks: Altta yatan bir akciğer hastalığı olmaksızın gelişir. Genellikle genç, uzun boylu ve sigara içen erkeklerde görülür.
    • Sekonder Spontan Pnömotoraks: KOAH, astım, kistik fibroz gibi akciğer hastalıkları olan kişilerde gelişir.
  • Travmatik Pnömotoraks: Göğüs kafesine alınan darbe, bıçaklanma, ateşli silah yaralanması gibi travmalar sonucu gelişir.
  • İyatrojenik Pnömotoraks: Tıbbi müdahaleler sırasında (akciğer biyopsisi, merkezi ven kateteri yerleştirilmesi gibi) gelişir.
  • Gerilim Pnömotoraks: Plevra boşluğuna giren havanın dışarı çıkamaması ve akciğer üzerinde giderek artan bir baskı oluşturması sonucu gelişir. Hayati tehlike oluşturan bir durumdur.

Spontan Pnömotoraks

Spontan pnömotoraks, akciğerde hiçbir belirgin neden olmadan meydana gelen bir durumdur. Akciğerdeki hava keseciklerinin (alveoller) yırtılması sonucu hava akciğer ile göğüs duvarı arasında bulunan plevral boşluğa dolar. Bu durum, akciğerin kısmen veya tamamen çökmesine neden olabilir. Spontan pnömotoraks, genellikle genç, sağlıklı erkeklerde daha sık görülür.

Travmatik Pnömotoraks

Travmatik pnömotoraks, göğüs boşluğuna bir yaralanma sonucu akciğer zarları arasında (plevra boşluğu) hava birikmesi durumudur. Bu yaralanma, göğse darbe, bıçaklanma veya kurşun yaralanması gibi nedenlerle olabilir. Travmatik pnömotoraks, akciğerin çökmesine ve solunum problemlerine yol açabilir.

İyatrojenik Pnömotoraks

İyatrojenik pnömotoraks, tıbbi bir müdahale veya işlem sonucunda akciğer zarları arasında (plevra boşluğu) hava birikmesi durumudur. Başka bir deyişle, bir sağlık hizmeti alırken oluşan pnömotorakstır. Bu durum, akciğerin kısmen veya tamamen çökmesine ve solunum problemlerine yol açabilir.

Gerilim Pnömotoraks

Gerilim pnömotoraks, hayati tehlike oluşturan acil bir tıbbi durumdur. Akciğer zarları arasında (plevra boşluğu) hava birikmesi sonucu akciğerin çökmesi ve bu havanın giderek artan basınç oluşturmasıyla karakterizedir. Bu basınç, akciğerin tamamen çökmesine ve kalp ile diğer organların yer değiştirmesine neden olarak dolaşım sistemini bozar.

Pnömotoraks Nedenleri

Pnömotoraksın farklı türleri, farklı nedenlere bağlı olarak gelişebilir. En yaygın nedenler şunlardır:

  • Akciğer Hastalıkları: KOAH, astım, kistik fibroz, tüberküloz, akciğer kanseri gibi hastalıklar
  • Sigara İçmek: Sigara dumanı, akciğer dokusuna zarar vererek pnömotoraks riskini artırır.
  • Uzun Boy ve Zayıf Vücut Yapısı: Primer spontan pnömotoraks, uzun boylu ve zayıf kişilerde daha sık görülür.
  • Aile Öyküsü: Ailede pnömotoraks öyküsü olan kişilerde risk daha yüksektir.
  • Göğüs Travması: Göğüs kafesine alınan darbeler, pnömotoraksa neden olabilir.
  • Tıbbi Müdahaleler: Akciğer biyopsisi, merkezi ven kateteri yerleştirilmesi gibi tıbbi müdahaleler sırasında pnömotoraks gelişebilir.
  • Mekanik Ventilasyon: Solunum cihazına bağlı hastalarda pnömotoraks gelişebilir.
  • Uçak Yolculuğu ve Dalış: Ani basınç değişiklikleri, pnömotoraks riskini artırabilir.

Pnömotoraks Belirtileri

Pnömotoraks belirtileri, çökmenin boyutuna ve altta yatan nedene bağlı olarak değişebilir. En sık görülen belirtiler şunlardır:

Eğer bu belirtilerden herhangi birini yaşıyorsanız, acilen tıbbi yardım almanız gerekir.

Pnömotoraks Tanısı

Pnömotoraks tanısı koymak için doktorunuz aşağıdaki testleri isteyebilir:

  • Fizik Muayene: Göğsünüzü dinleyerek ve genel sağlık durumunuzu değerlendirmek için fizik muayene yapacaktır.
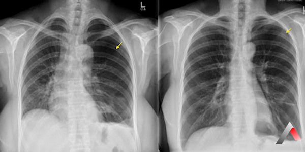
  • Göğüs Röntgen: Akciğerlerinizin görüntüsünü elde etmek ve pnömotoraksı doğrulamak için göğüs röntgeni isteyebilir.
  • Bilgisayarlı Tomografi (BT): Akciğerlerinizin daha detaylı görüntüsünü elde etmek ve pnömotoraksın boyutunu ve yerini belirlemek için BT isteyebilir.
  • Arteriyel Kan Gazı Analizi: Kandaki oksijen ve karbondioksit seviyelerini ölçmek için arteriyel kan gazı analizi isteyebilir.
  • EKG: Kalp ritminizi değerlendirmek için EKG çekebilir.

Pnömotoraks Tedavisi

Pnömotoraks tedavisi, çökmenin boyutuna, nedenine ve hastanın genel sağlık durumuna bağlı olarak değişir. Tedavi seçenekleri şunlardır:

  • Gözlem: Küçük ve belirti vermeyen pnömotoraks vakalarında, dinlenme ve oksijen tedavisi ile gözlem yeterli olabilir. Hava, plevra boşluğundan kendiliğinden emilebilir.
  • İğne Aspirasyonu: Küçük pnömotoraks vakalarında, plevra boşluğuna bir iğne yerleştirilerek hava aspire edilebilir.
  • Göğüs Tüpü: Daha büyük pnömotoraks vakalarında, plevra boşluğuna göğüs tüpü yerleştirilerek hava tahliye edilir. Göğüs tüpü, akciğerin tekrar şişmesini sağlar ve plevra boşluğunda sıvı birikmesini önler.
  • Cerrahi: Tekrarlayan pnömotoraks, büyük pnömotoraks veya göğüs tüpü tedavisine yanıt vermeyen pnömotoraks vakalarında cerrahi müdahale gerekebilir. Cerrahi sırasında, akciğerdeki hava kaçağı onarılır ve plevra yapışıklıkları oluşturularak pnömotoraksın tekrarlamasını önlemeye çalışılır.

Pnömotoraksdan Korunma

Pnömotoraks riskini azaltmak için aşağıdaki önlemleri alabilirsiniz:

  • Sigara İçmeyin: Sigara içmek, pnömotoraks riskini önemli ölçüde artırır.
  • Akciğer Hastalıklarınızı Kontrol Altında Tutun: Astım, KOAH gibi akciğer hastalıklarınız varsa, tedavinizi düzenli olarak uygulayın ve doktor kontrollerinizi aksatmayın.
  • Göğüs Travmalarından Korunun: Göğüs kafesinizi darbelerden koruyun. Emniyet kemeri takın ve kontakt sporları yaparken koruyucu ekipman kullanın.
  • Uçak Yolculuğu ve Dalış Yaparken Dikkatli Olun: Uçak yolculuğu ve dalış yapmadan önce doktorunuza danışın.

Pnömotoraks Hakkında Sıkça Sorulan Sorular

1. Pnömotoraks ölümcül müdür?

Pnömotoraks, nadiren ölümcül olabilir. Özellikle gerilim pnömotoraksı gibi ciddi vakalarda hayati tehlike oluşturabilir. Ancak erken teşhis ve tedavi ile ölüm riski önemli ölçüde azalır.

2. Pnömotoraks kimlerde görülür?

Pnömotoraks, her yaştan insanda görülebilir. Ancak sigara içenlerde, akciğer hastalığı olanlarda, uzun boylu ve zayıf kişilerde ve ailede pnömotoraks öyküsü olanlarda daha sık görülür.

3. Pnömotoraks tekrarlar mı?

Evet, pnömotoraks tekrarlayabilir. Özellikle primer spontan pnömotoraks geçirenlerde tekrarlama riski daha yüksektir.

4. Pnömotoraksın uzun vadeli etkileri nelerdir?

Pnömotoraks, genellikle kalıcı bir hasara neden olmaz. Ancak tekrarlayan pnömotoraks vakalarında akciğer fonksiyonlarında azalma görülebilir.

Unutmayın, pnömotoraks ciddi bir sağlık sorunudur. Eğer göğüs ağrısı, nefes darlığı veya diğer belirtiler yaşıyorsanız, acilen tıbbi yardım almanız gerekir.

A Life Sağlık Grubu olarak, alanında uzman doktorlarımız ve modern tanı yöntemlerimizle pnömotoraks tanısı ve tedavisinde size en iyi sağlık hizmetini sunmaktayız. Detaylı bilgi ve randevu için bizimle iletişime geçebilirsiniz.

Tıbbi İçerik Onay Bilgisi

Bu içerik, A Life Sağlık Grubu Genel Cerrahi birimi uzmanları tarafından tıbbi literatür ve güncel cerrahi protokoller ışığında incelenmiş ve onaylanmıştır.

İlgili Branş Hekimlerimiz:

Son Güncelleme: Aralık 2025 Doktor Profillerimizi Ziyaret Edin
A Life Tıbbi Yayın Kurulu tarafından hazırlanmıştır.

Son Güncelleme: 13 Kasım 2025 14:03

Yayınlanma Tarihi: 23 Kasım 2024 04:29

Pnömotoraks Nedir?

Hızlı Başvuru Formu

Lütfen size ulaşabilmek için aşağıdaki alanları doldurunuz

İlgili Bölümler
İlgili Hekimler
Benzer İçerikler

Yardıma mı ihtiyacınız var ?

7/24 tüm soru ve sorunlarınız için buradayız.