Total Knee Replacement

Regain Your Mobility with a Permanent Solution

At A Life Health Group, we aim to provide the highest quality healthcare to patients of all ages. Total knee replacement surgery is performed to relieve pain, swelling, and limited mobility caused by cartilage wear, inflammation, or damage in the knee joint. The procedure involves replacing the damaged knee joint with an artificial implant. This approach offers an effective solution to reduce pain, improve mobility, and enhance overall quality of life.

What Is Total Knee Replacement Surgery?

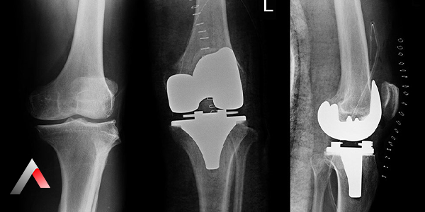
Total knee replacement surgery involves replacing the entire surface of the knee joint with an artificial implant. The artificial joint is made of metal, ceramic, or specialized medical-grade plastics, designed to restore the natural movement and stability of the knee. The prosthesis supports both flexion and extension movements of the knee while reestablishing its load-bearing capacity.

Who Is Eligible for Total Knee Replacement Surgery?

Total knee replacement surgery may be recommended in the following situations:

  • Severe Knee Pain: When intense pain caused by cartilage wear, inflammation, or joint damage does not improve with conservative treatments.
  • Limited Mobility: When restricted movement and knee pain make it difficult to walk, climb stairs, or perform daily activities.
  • Pain Unresponsive to Medication: When painkillers, physical therapy, and other non-surgical treatments fail to provide relief.
  • Severe Joint Damage: When knee joint deterioration becomes so advanced that it significantly limits walking and mobility.
Total_Knee_Replacement_Surgery_ec72679c.webp

Advantages of Total Knee Replacement Surgery

  • Pain Reduction: Total knee replacement significantly reduces or completely eliminates pain in the knee joint.
  • Improved Mobility: The artificial joint restores knee movement and flexibility, making walking, climbing stairs, and daily activities easier.
  • Enhanced Quality of Life: Reduced pain and improved mobility after surgery lead to a better quality of life, allowing individuals to participate more actively in social and professional activities.
  • Long-Lasting Solution: With proper care and regular follow-ups, total knee prostheses can last 15–20 years or even longer.

Types of Total Knee Prostheses

Knee prostheses can be applied in different types depending on the patient’s specific needs:

  • Cemented Prostheses: The prosthesis is fixed to the bone using a special bone cement.
  • Cementless Prostheses: The bone tissue naturally fuses with the prosthesis; suitable for younger and more active patients.
  • Hybrid Prostheses: Some components are fixed with cement, while others are cementless.
  • Minimally Invasive Prostheses: Performed through smaller incisions, this technique shortens recovery time.

How Is Total Knee Replacement Surgery Performed?

Total knee replacement surgery is usually performed under general anesthesia. The procedure involves making an incision around the knee area. The surgeon removes the damaged joint surfaces and replaces them with an artificial joint. After the surgery, the knee is bandaged, and a short hospital stay of a few days is typically required for monitoring and initial recovery.

Recovery Process After Total Knee Replacement Surgery:

The recovery process varies from person to person:

  • First Week: Swelling, mild pain, and limited movement in the knee are normal.
  • Weeks 2–6: Physical therapy begins; walking and simple exercises are introduced to improve joint mobility.
  • Weeks 6–12: Gradual return to daily activities such as climbing stairs and short walks.
  • Months 3–6: The knee becomes stronger, and full movement and stability are restored.

Postoperative Precautions:

  • Take your prescribed medications regularly as directed by your doctor.
  • Continue physical therapy: The postoperative rehabilitation program is tailored individually by your physiotherapist.
  • Avoid heavy lifting: Refrain from activities that may strain your knee after surgery.
  • Rest adequately: Ensure sufficient rest and avoid strenuous activities.

Postoperative Complaints After Total Knee Replacement:

  • Pain: It is normal to experience pain after surgery. You can manage it with the painkillers prescribed by your doctor.
  • Swelling: Swelling around the knee is common after the procedure.
  • Limited Mobility: Some temporary restriction in knee movement may occur postoperatively.
  • Infection: There is a potential risk of infection following the surgery.
  • Prosthesis Loosening: Over time, the prosthesis may loosen and require revision surgery.
Risks of Total Knee Replacement Surgery:

Like any surgical procedure, total knee replacement surgery carries certain risks. These include:

  • Bleeding: There is a risk of bleeding after surgery.
  • Infection: Postoperative infection is possible.
  • Prosthesis Loosening: Over time, the prosthesis may loosen and require revision surgery.
  • Nerve Damage: There is a risk of nerve injury during the operation.
  • Thrombosis: There is a risk of blood clots in the legs (thrombosis) after surgery.

However, with an experienced medical team and modern surgical techniques, these risks are minimized.

Total Knee Replacement Surgery at A Life Health Group

Total knee replacement surgery is one of the most effective treatment methods for advanced joint osteoarthritis, rheumatic diseases, or knee damage resulting from trauma. A Life Health Group stands out in this field with its expert medical team, modern technologies, and patient-centered approach.

  • Experienced Medical Team: A Life Health Group has a team of orthopedic specialists with extensive experience.
  • State-of-the-Art Technology: Total knee replacement surgeries are performed using the latest technology.
  • Safe and Comfortable Environment: Patients receive treatment in a secure and comfortable setting.
  • Personalized Treatment: Each patient receives a treatment plan tailored to their individual needs.
  • Affordable Services: A Life Health Group offers services at competitive prices.

Postoperative Support and Rehabilitation

Success after total knee replacement surgery is not limited to the operation itself. A Life Health Group provides patients with personalized exercise programs under the supervision of physiotherapists, regular check-ups, and close follow-up. This ensures that patients can stand up quickly, walk without pain, and safely return to their daily activities.

For more information about total knee replacement surgery, contact us!

At A Life Health Group, we are here to determine the best treatment option for you and guide you through the total knee replacement process. We look forward to seeing you!

Frequently Asked Questions (FAQ) – Total Knee Replacement
  • How long does total knee replacement surgery take?
    The surgery typically lasts 1–2 hours, and hospital stay is generally 3–5 days.

  • What is the lifespan of the prosthesis?
    With proper care and regular check-ups, the prosthesis can last 15–20 years or longer.

  • Can I walk after surgery?
    Walking begins with a walker or cane on the first days, and normal activities are usually regained within 6–8 weeks.

  • Can I exercise?
    Physical therapy and a tailored exercise program help improve knee strength and flexibility.

  • Will the prosthesis need replacement?
    If wear or loosening occurs over time, a revision surgery may be required; however, modern prostheses are long-lasting.

Prepared by A Life Medical Editorial Board.

Last Updated: 6 Kasım 2025 14:05

Publish Date: 29 Eylül 2024 15:47

Total Knee Replacement

Quick Application Form

Please fill in the fields below so that we can reach you

Related Departments
Related Doctors
Similar Contents

Do you need help?

We are here for all your questions and problems 24/7.