Humerus-Pazu Kemiği

Humerus

Humerus, kolumuzun üst kısmında bulunan uzun bir kemiktir. Pazu kemiği olarak da bilinen bu kemik, omuz ekleminden dirsek eklemine kadar uzanır ve kolun hareket etmesini, nesneleri kaldırmamızı ve günlük aktivitelerimizi gerçekleştirmemizi sağlar. A Life Sağlık Grubu olarak, bu blog yazımızda humerus kemiğinin yapısını, fonksiyonlarını ve olası rahatsızlıklarını detaylı bir şekilde ele alıyoruz.

Humerus_2fccd42d.webp

Humerus Nedir?

Humerus, uzun kemiklerin tipik yapısına sahiptir ve üç ana bölümden oluşur:

  1. Proksimal Uç (Üst Uç):

    • Baş: Yuvarlak bir yapıya sahiptir ve skapulanın (kürek kemiği) glenoid kavitesi ile eklem yaparak omuz eklemini oluşturur.
    • Anatomik Boyun: Baş ile şaft arasında bulunan dar bir bölgedir.
    • Büyük ve Küçük Tümsekler: Başın altında bulunan ve omuz kaslarının bağlandığı iki çıkıntıdır.
    • Cerrahi Boyun: Proksimal ucun şaft ile birleştiği bölgedir ve kırıkların sıklıkla görüldüğü bir yerdir.
  2. Şaft (Gövde):

    • Humerus'un uzun ve silindirik kısmıdır.
    • Deltoid kasının bağlandığı deltoid tüberozitesi (çıkıntısı) bulunur.
    • Radial sinirin geçtiği radial oluk bulunur.
  3. Distal Uç (Alt Uç):

    • Kapitulum: Radius (ön kol kemiği) ile eklem yapan yuvarlak bir yapıya sahiptir.
    • Troklea: Ulna (arka kol kemiği) ile eklem yapan makara şeklindeki bir yapıya sahiptir.
    • Medial ve Lateral Epikondil: Distal ucun her iki yanında bulunan ve ön kol kaslarının bağlandığı çıkıntılardır.
    • Olekranon Fossa: Dirseğin bükülmesi sırasında ulnanın olekranon çıkıntısının girdiği çukurluktur.
    • Koronoid Fossa: Dirseğin bükülmesi sırasında ulnanın koronoid çıkıntısının girdiği çukurluktur.
    • Radial Fossa: Dirseğin bükülmesi sırasında radius başının girdiği çukurluktur.

Humerus'un Fonksiyonları

Humerus, kolun hareketliliği ve fonksiyonelliği için kritik öneme sahip bir kemiktir. Başlıca fonksiyonları şunlardır:

  • Kolun Hareketliliği: Omuz ve dirsek eklemleri ile birlikte kolun her yöne hareket etmesini sağlar. Kaldırma, indirme, ileri-geri hareket ettirme, döndürme gibi hareketlerde rol oynar.
  • Kas Bağlantısı: Birçok kol ve omuz kası, humerus'a yapışır. Bu kaslar, kolun hareket etmesini ve omuz ekleminin stabil kalmasını sağlar.
  • Kuvvet İletimi: Humerus, nesneleri kaldırırken veya iterken kuvvetin omuzdan ele iletilmesini sağlar.
  • Koruma: Humerus, kolun sinirlerini ve kan damarlarını korur.

Humerus Rahatsızlıkları

Humerus kemiği, çeşitli rahatsızlıklardan etkilenebilir. Bu rahatsızlıklar, ağrı, hareket kısıtlılığı ve fonksiyon kaybına neden olabilir. En sık görülen humerus rahatsızlıkları şunlardır:

  • Humerus Kırıkları: Düşme, darbe veya trafik kazaları gibi travmalar sonucu humerus kemiği kırılabilir. Kırıklar, ağrı, şişlik ve hareket kısıtlılığına neden olur. Tedavi, kırığın şiddetine bağlı olarak değişir ve alçı, ameliyat veya fizik tedaviyi içerebilir.
  • Proksimal Humerus Kırıkları: Omuz eklemine yakın olan humerus başının veya cerrahi boynunun kırılmasıdır. Genellikle yaşlılarda ve osteoporoz (kemik erimesi) hastalarında görülür.
  • Humerus Şaft Kırıkları: Humerus kemiğinin orta kısmının kırılmasıdır. Genellikle gençlerde ve yüksek enerjili travmalar sonucu görülür.
  • Distal Humerus Kırıkları: Dirsek eklemine yakın olan humerus kemiğinin kırılmasıdır. Genellikle düşme veya spor yaralanmaları sonucu görülür.
  • Omuz Çıkığı: Omuz eklemi çıkığı, skapulanın glenoid kavitesinden humerus başının çıkmasıdır. Bu durum, şiddetli ağrı, deformite ve hareket kaybına neden olur. Tedavi, eklemin yerine oturtulması ve ardından fizik tedaviyi içerir.
  • Humerus Baş Nekrozu: Humerus başının kan dolaşımının bozulması sonucu kemik dokusunun ölmesidir. Bu durum, ağrı ve hareket kısıtlılığına neden olur. Tedavi, ilaçlar, fizik tedavi veya cerrahiyi içerebilir.

Humerus Rahatsızlıklarının Teşhisi

Humerus rahatsızlıklarının teşhisi için doktorunuz fizik muayene yapacak ve aşağıdaki testleri isteyebilir:

  • Röntgen: Humerus kemiğinin yapısını ve olası kırıkları değerlendirmek için
  • Bilgisayarlı Tomografi (BT): Kırıkların veya diğer anormalliklerin daha detaylı görüntülerini elde etmek için
  • Manyetik Rezonans Görüntüleme (MR): Yumuşak dokuları (kaslar, tendonlar, bağlar) ve sinirleri değerlendirmek için
  • Elektromiyografi (EMG): Sinir hasarını değerlendirmek için

Humerus Rahatsızlıklarının Tedavisi

Humerus rahatsızlıklarının tedavisi, altta yatan nedene ve rahatsızlığın şiddetine bağlı olarak değişir. Tedavi seçenekleri şunlardır:

  • Dinlenme: Ağrı ve iltihabı azaltmak için
  • Buz: Şişlik ve ağrıyı azaltmak için
  • Sıcak: Kasları gevşetmek ve ağrıyı azaltmak için
  • İlaçlar: Ağrıyı ve iltihabı azaltmak için
  • Fizik Tedavi: Hareketliliği ve gücü artırmak, postürü düzeltmek ve ağrıyı azaltmak için
  • Enjeksiyonlar: Ağrı ve iltihabı azaltmak için kortikosteroid enjeksiyonları
  • Cerrahi: Kırıklar, eklem çıkıkları veya sinir sıkışması gibi durumlarda cerrahi müdahale gerekebilir.

A life'ta Humerus Tedavisi

A Life Sağlık Grubu olarak, humerus rahatsızlıklarının tedavisi konusunda deneyimli ortopedi uzmanlarımız ve son teknoloji ekipmanlarımız ile hizmet vermekteyiz.

A Life'ta Humerus Rahatsızlıklarının Tedavisi Avantajları:

  • Uzman Ortopedi Uzmanları: Alanında uzman ve deneyimli ortopedi uzmanlarımız, humerus rahatsızlıklarının teşhisi ve tedavisi konusunda en son bilgilere ve tekniklere hakimdir.
  • Gelişmiş Görüntüleme Teknolojileri: Son teknoloji röntgen, MR ve BT cihazlarımız, humerus rahatsızlıklarının doğru teşhisini sağlar.
  • Modern Ameliyathaneler: Hijyenik ve modern ameliyathanelerimizde, gerektiğinde cerrahi müdahaleler güvenli bir şekilde gerçekleştirilir.
  • Fizik Tedavi ve Rehabilitasyon: Fizik tedavi ve rehabilitasyon uzmanlarımız, kol ve omuz hareketliliğinizi ve gücünüzü geri kazanmanıza yardımcı olur.
  • Hasta Odaklı Yaklaşım: Tedavi sürecinin her aşamasında size destek oluyor, tüm sorularınızı yanıtlıyor ve endişelerinizi gideriyoruz.

A Life Sağlık Grubu olarak, humerus rahatsızlıkları ve diğer ortopedik sorunlarınızda size yardımcı olmaktan mutluluk duyarız.

Humerus Kemiği Hakkında Sıkça Sorulan Sorular

Humerus Kemiği​

Humerus, kol kemiği veya pazu kemiği olarak da bilinir ve kolunuzun üst kısmında, omuz ile dirsek arasında yer alan uzun bir kemiktir. Vücudumuzdaki en uzun kemiklerden biri olan humerus, kolun hareket etmesini, nesneleri kaldırmamızı ve günlük aktivitelerimizi gerçekleştirmemizi sağlar.

Humerus Kırığı​

Humerus kırığı, kolumuzun üst kısmında bulunan humerus kemiğinin (pazu kemiği) kırılması durumudur. Bu kırıklar, genellikle düşme, spor yaralanmaları veya trafik kazaları gibi travmalar sonucu oluşur.

humerus_k__r__________f23338fd.webp

Humerus Kırığı Türleri

Humerus kırıkları, kırığın yerine göre farklı tiplerde olabilir:

  • Proksimal Humerus Kırığı: Omuz eklemine yakın olan humerus başının veya cerrahi boynunun kırılmasıdır. Genellikle yaşlılarda ve osteoporoz (kemik erimesi) hastalarında görülür.
  • Humerus Şaft Kırığı: Humerus kemiğinin orta kısmının kırılmasıdır. Genellikle gençlerde ve yüksek enerjili travmalar sonucu görülür.
  • Distal Humerus Kırığı: Dirsek eklemine yakın olan humerus kemiğinin kırılmasıdır. Genellikle düşme veya spor yaralanmaları sonucu görülür.

Humerus Kırığı Tedavisi

Humerus kırığı tedavisi, kırığın türüne, yerine ve şiddetine bağlı olarak değişir. Tedavi seçenekleri şunlardır:

  • Atel veya Alçı: Kırık kemik uçları yerinden oynamamışsa ve stabilse, atel veya alçı ile tedavi edilebilir.
  • Cerrahi: Kırık kemik uçları yerinden oynamışsa veya eklem yüzeyini etkiliyorsa cerrahi müdahale gerekebilir. Cerrahi sırasında, kırık kemik uçları vidalar, plakalar veya çiviler gibi implantlar kullanılarak sabitlenir.
  • Fizik Tedavi: Ameliyattan veya alçı tedavisinden sonra, kolun hareketliliğini ve gücünü geri kazanmak için fizik tedavi uygulanır.

Humerus Üst Uç Kırığı​

Humerus üst uç kırığı, kol kemiğinin omuz eklemine yakın olan üst kısmında meydana gelen kırıklardır. Bu kırıklar, genellikle yaşlılarda düşme sonucu veya gençlerde yüksek enerjili travmalar (trafik kazaları, spor yaralanmaları gibi) sonucu oluşur.

Humerus üst uç kırıkları, kırık çizgisinin yerine ve kemik parçalarının sayısına göre farklı tiplerde sınıflandırılır. Neer sınıflandırması, en sık kullanılan sınıflandırma sistemidir ve kırıkları 4 parçaya ayırır:

  • Tek Parça Kırığı: Kemikte sadece bir kırık çizgisi vardır ve parçalar yerinden oynamamıştır.
  • İki Parça Kırığı: Kemik iki parçaya ayrılmıştır ve parçaların biri yerinden oynamıştır.
  • Üç Parça Kırığı: Kemik üç parçaya ayrılmıştır ve parçaların ikisi yerinden oynamıştır.
  • Dört Parça Kırığı: Kemik dört veya daha fazla parçaya ayrılmıştır ve tüm parçalar yerinden oynamıştır.

Humerus üst uç kırığı tedavisi, kırığın türüne, yerine, şiddetine ve hastanın yaşına ve genel sağlık durumuna bağlı olarak değişir.

  • Konservatif Tedavi:

    • Kol Askısı: Tek parça veya hafif yer değiştirme olan kırıklarda, kol askısı ile tedavi yeterli olabilir.
    • Fizik Tedavi: İyileşme sürecinde, kolun hareketliliğini ve gücünü geri kazanmak için fizik tedavi uygulanır.
  • Cerrahi Tedavi:

    • Kapalı Redüksiyon ve Fiksasyon: Kırık parçaları yerinden oynamışsa, kapalı yöntemle yerine oturtulup vidalar, teller veya plaklar ile sabitlenebilir.
    • Açık Redüksiyon ve Fiksasyon: Daha karmaşık kırıklarda, açık cerrahi ile kırık parçaları yerine oturtulup sabitlenir.
    • Omuz Protezi: Çok parçalı kırıklarda veya yaşlı hastalarda, omuz eklemi protezi uygulanabilir.
humerus___st_u___k__r__________54606056.webp

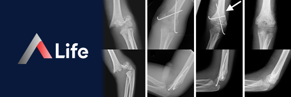
Suprakondiler Humerus Kırığı​

Suprakondiler humerus kırığı, dirsek ekleminin hemen üzerinde, humerus kemiğinin (kol kemiği) alt ucunda meydana gelen bir kırıktır. Bu kırık tipi, çoğunlukla çocuklarda görülür ve genellikle avuç içi açık şekilde düşme sonucu oluşur.

suprakondiler_humerus_k__r__________634d60bd.webp

Humerus Alt Uç Kırığı​

Humerus alt uç kırığı, kol kemiğinin dirsek eklemine yakın olan alt kısmında meydana gelen kırıklardır. Bu kırıklar, genellikle düşme, trafik kazaları veya spor yaralanmaları gibi travmalar sonucu oluşur. Çocuklarda ve yaşlılarda daha sık görülür.

Humerus alt uç kırıkları, kırık çizgisinin yerine ve eklem yüzeyinin tutulumuna göre farklı tiplerde sınıflandırılır.

  • Ekstraartiküler Kırıklar: Eklem yüzeyini içermeyen kırıklardır.
    • Suprakondiler Kırık: Dirsek ekleminin hemen üzerinde meydana gelir. Çocuklarda en sık görülen humerus kırığı tipidir.
    • Epikondil Kırığı: Humerus kemiğinin alt ucundaki medial veya lateral epikondilin kırılmasıdır.
  • İntraartiküler Kırıklar: Eklem yüzeyini içeren kırıklardır.
    • Kapitulum Kırığı: Humerus kemiğinin alt ucunda, radius kemiği ile eklem yapan kapitulumun kırılmasıdır.
    • Troklea Kırığı: Humerus kemiğinin alt ucunda, ulna kemiği ile eklem yapan trokleanın kırılmasıdır.

Humerus alt uç kırıkları tedavisi, kırığın türüne, yerine, şiddetine ve hastanın yaşına ve genel sağlık durumuna bağlı olarak değişir.

  • Konservatif Tedavi:

    • Alçı: Kırık kemik uçları yerinden oynamamışsa, alçı ile tedavi edilebilir.
    • Fizik Tedavi: İyileşme sürecinde, dirseğin hareketliliğini ve gücünü geri kazanmak için fizik tedavi uygulanır.
  • Cerrahi Tedavi:

    • Kapalı Redüksiyon ve Perkütan Pinleme: Kırık parçaları yerinden oynamışsa, kapalı yöntemle yerine oturtulup tellerle sabitlenebilir.
    • Açık Redüksiyon ve İç Fiksasyon: Daha karmaşık kırıklarda, açık cerrahi ile kırık parçaları yerine oturtulup plakalar ve vidalarla sabitlenir.
    • Dirsek Protezi: Çok parçalı kırıklarda veya yaşlı hastalarda, dirsek eklemi protezi uygulanabilir.
humerus_alt_u___k__r__________ac8d66c4.webp

Humerus Kırığı İyileşme Belirtileri​

A Life Sağlık Grubu olarak, humerus kırığı iyileşme belirtileri hakkında size bilgi vermekten mutluluk duyarız. Humerus kırığı, kol kemiğinin kırılması durumudur ve iyileşme süreci kırığın ciddiyetine, tedavi yöntemine ve hastanın genel sağlık durumuna bağlı olarak değişebilir.

Humerus kırığı iyileşme belirtileri şunlardır:

  • Ağrının azalması: İyileşme sürecinde ağrı giderek azalır ve sonunda tamamen kaybolur.
  • Şişliğin azalması: Kırık bölgesindeki şişlik ve morarma zamanla azalır.
  • Hareket açıklığının artması: Kolunuzu daha rahat hareket ettirebilir ve dirseğinizi bükebilirsiniz.
  • Gücün artması: Kolunuzdaki güç zamanla artar ve günlük aktivitelerinizi daha rahat yapabilirsiniz.
  • Kemik kaynamasının görülmesi: Röntgen filmlerinde kırık kemik uçlarının birleştiği ve yeni kemik dokusunun oluştuğu görülür.

İyileşme Sürecini Hızlandırmak İçin:

  • Doktorunuzun talimatlarına uyun: Alçı veya atel kullanıyorsanız, doktorunuzun talimatlarına göre kullanın ve düzenli olarak kontrole gidin.
  • İlaçlarınızı düzenli olarak kullanın: Ağrı kesiciler ve iltihap önleyici ilaçlar, ağrıyı ve şişliği azaltmaya yardımcı olur.
  • Fizik tedaviye düzenli olarak katılın: Fizik tedavi, kolunuzun hareketliliğini ve gücünü geri kazanmanıza yardımcı olur.
  • Sağlıklı beslenin: Kemik iyileşmesi için yeterli protein, kalsiyum ve D vitamini alın.
  • Sigara ve alkolden uzak durun: Sigara ve alkol, kemik iyileşmesini yavaşlatabilir.

Humerus Kırığı İyileşme Süresi

Humerus kırığının iyileşme süresi, kırığın ciddiyetine, tedavi yöntemine ve hastanın genel sağlık durumuna bağlı olarak değişir. Genellikle,

  • Alçı veya atel ile tedavi edilen kırıklarda: 6-8 hafta
  • Cerrahi ile tedavi edilen kırıklarda: 3-6 ay

A Life Sağlık Grubu olarak, humerus kırığı tedavisi ve rehabilitasyonu konusunda deneyimli ortopedi uzmanlarımız ve fizik tedavi uzmanlarımız ile hizmet vermekteyiz.

Unutmayın: Bu bilgiler sadece genel bilgilendirme amaçlıdır ve tıbbi tavsiye yerine geçmez. Humerus kırığı iyileşme süreciniz hakkında daha fazla bilgi edinmek için lütfen doktorunuza danışın.

Tıbbi İçerik Onay Bilgisi

Bu içerik, A Life Sağlık Grubu Genel Cerrahi birimi uzmanları tarafından tıbbi literatür ve güncel cerrahi protokoller ışığında incelenmiş ve onaylanmıştır.

İlgili Branş Hekimlerimiz:

Son Güncelleme: Aralık 2025 Doktor Profillerimizi Ziyaret Edin
A Life Tıbbi Yayın Kurulu tarafından hazırlanmıştır.

Son Güncelleme: 6 Kasım 2025 14:05

Yayınlanma Tarihi: 9 Ocak 2025 04:36

Humerus-Pazu Kemiği

Tedavi Rehberi Bilgilendirme Formu

Araştırma Yaptığınız Konu ve Hastalık Hakkında Uzman Hekimlerimize Danışarak Sizlere Geri Dönüş Sağl

İlgili Bölümler
İlgili Hekimler
Benzer İçerikler

Yardıma mı ihtiyacınız var ?

7/24 tüm soru ve sorunlarınız için buradayız.