Telefon 0 (850) 888 54 33
Menü
Randevu E-Randevu

Röntgen

Röntgen

Röntgen, vücudun iç yapılarını görüntülemek için kullanılan bir tıbbi görüntüleme yöntemidir. Alman fizikçi Wilhelm Conrad Röntgen tarafından 1895 yılında keşfedilen bu teknik, tıp alanında devrim yaratmış ve günümüzde de birçok hastalığın teşhis ve tedavisinde önemli bir rol oynamaktadır. Röntgen ışınları, vücuttan geçerken farklı yoğunluktaki dokular tarafından farklı oranlarda emilir. Bu sayede, film veya dijital dedektör üzerinde vücudun iç yapılarının görüntüsü elde edilir.

A Life Sağlık Grubu, röntgen ve diğer tıbbi görüntüleme yöntemleri konusunda uzmanlaşmış radyoloji uzmanlarından oluşan deneyimli bir ekibe sahiptir. İleri teknolojiye sahip görüntüleme cihazlarımız ve hasta odaklı yaklaşımımızla, size en güvenilir ve doğru teşhisi sağlamak için buradayız.

R__ntgen_d94b97a6.webp

Röntgen Nedir?

Röntgen, vücudun iç yapılarını görüntülemek için kullanılan bir tıbbi görüntüleme yöntemidir. Bu yöntemde, röntgen ışınları adı verilen bir tür elektromanyetik radyasyon kullanılır. Röntgen ışınları, vücuttan geçerken farklı yoğunluktaki dokular tarafından farklı oranlarda emilir. Bu sayede, film veya dijital dedektör üzerinde vücudun iç yapılarının görüntüsü elde edilir.

Röntgen, kemiklerin, eklemlerin ve bazı organların görüntülenmesinde etkili bir yöntemdir. Ayrıca, zatürre, kanser ve diğer hastalıkların teşhisinde de kullanılabilir.

Röntgen Nasıl Çalışır?

Röntgen cihazı, röntgen tüpü ve bir dedektörden oluşur. Röntgen tüpü, elektronları hızlandırarak röntgen ışınları üretir. Bu ışınlar, hastanın vücudundan geçirilir ve dedektör tarafından algılanır. Dedektör, ışınların ne kadar emildiğini ölçer ve bu bilgiyi bir görüntüye dönüştürür.

Kemikler gibi yoğun dokular, röntgen ışınlarını daha fazla emer ve bu nedenle röntgen filminde beyaz görünür. Akciğerler gibi hava dolu organlar ise, röntgen ışınlarını daha az emer ve siyah görünür.

Röntgen Hangi Durumlarda Kullanılır?

Röntgen, geniş bir yelpazede tıbbi durumların teşhisinde kullanılabilir. En yaygın kullanım alanları şunlardır:

  • Kemik kırıkları: Röntgen, kırık kemikleri görüntülemek için en sık kullanılan yöntemdir.
  • Eklem problemleri: Artrit, çıkık veya diğer eklem problemlerini teşhis etmek için kullanılabilir.
  • Akciğer hastalıkları: Zatürre, bronşit, tüberküloz ve akciğer kanseri gibi akciğer hastalıklarını teşhis etmek için kullanılabilir.
  • Sindirim sistemi problemleri: Yutma güçlüğü, bağırsak tıkanıklığı veya diğer sindirim sistemi problemlerini değerlendirmek için baryum kontrastlı röntgen çekilebilir.
  • Diş problemleri: Diş çürükleri, diş apseleri ve diğer diş problemlerini teşhis etmek için kullanılabilir.
  • Meme kanseri taraması: Mamografi, meme kanserini erken teşhis etmek için kullanılan bir röntgen türüdür.

Röntgen Çeşitleri

Röntgen, farklı teknikler kullanılarak çekilebilir. Bazı röntgen çeşitleri şunlardır:

  • Standart röntgen: En yaygın röntgen türüdür. Kemiklerin, eklemlerin ve bazı organların görüntülerini elde etmek için kullanılır.
  • Floroskopi: Hareketli görüntüler elde etmek için kullanılan bir röntgen türüdür. Örneğin, yutma işlemini veya eklem hareketlerini görüntülemek için kullanılabilir.
  • Bilgisayarlı tomografi (BT): Vücudun kesitsel görüntülerini elde etmek için kullanılan bir görüntüleme yöntemidir. BT, röntgen ışınlarını kullanarak daha detaylı görüntüler sağlar.
  • Anjiyografi: Kan damarlarını görüntülemek için kullanılan bir röntgen türüdür. Kan damarlarına kontrast madde enjekte edilerek görüntüler elde edilir.

Röntgenin Riskleri

Röntgen ışınları, bir tür iyonlaştırıcı radyasyon olduğu için bazı riskler taşır. Ancak, bu riskler genellikle düşüktür ve röntgenin sağladığı faydalar risklerden daha ağır basar.

Röntgenin olası riskleri şunlardır:

  • Kanser riski: Yüksek dozlarda radyasyona maruz kalmak, kanser riskini artırabilir. Ancak, tıbbi görüntülemede kullanılan radyasyon dozları genellikle çok düşüktür.
  • Gebelik sırasında radyasyon maruziyeti: Gebelik sırasında röntgen çektirmek, bebeğe zarar verme riski taşır. Bu nedenle, hamileyseniz veya hamile olma ihtimaliniz varsa, doktorunuza bildirmeniz önemlidir.

A life'ta Röntgen

A Life Sağlık Grubu, röntgen ve diğer tıbbi görüntüleme yöntemleri konusunda uzmanlaşmış radyoloji uzmanlarından oluşan deneyimli bir ekibe sahiptir. İleri teknolojiye sahip görüntüleme cihazlarımız ve hasta odaklı yaklaşımımızla, size en güvenilir ve doğru teşhisi sağlamak için buradayız.

A Life'ta Röntgen İçin Sunduğumuz Avantajlar:

  • Deneyimli ve Uzman Kadro: Alanında uzman radyoloji uzmanları, röntgen görüntülerinizi değerlendirir ve size detaylı bir rapor sunar.
  • İleri Teknoloji: Son teknolojiye sahip röntgen cihazlarımız, yüksek kaliteli görüntüler elde etmemizi sağlar.
  • Düşük Radyasyon Dozu: Cihazlarımız, mümkün olan en düşük radyasyon dozunu kullanacak şekilde tasarlanmıştır.
  • Hızlı Sonuç: Röntgen görüntüleriniz hızlı bir şekilde işlenir ve sonuçlar en kısa sürede size iletilir.
  • Hasta Odaklı Yaklaşım: İşlem öncesi, sırası ve sonrası süreçlerde size destek olunur ve tüm sorularınız cevaplandırılır.

Röntgen, vücudun iç yapılarını görüntülemek için kullanılan önemli bir tıbbi görüntüleme yöntemidir. A Life Sağlık Grubu, deneyimli uzman kadrosu ve ileri teknoloji ile röntgen uygulamalarında size en iyi hizmeti sunmaktadır. Sağlığınız için ilk adımı atın ve A Life'a başvurun.

Dijital Röntgen Cihazı​

Dijital röntgen cihazları, geleneksel röntgen filmlerinin yerini alan modern görüntüleme cihazlarıdır. X-ışınlarını kullanarak vücudun iç yapılarının dijital görüntülerini oluştururlar. Bu görüntüler, bilgisayar ekranında görüntülenebilir, saklanabilir ve paylaşılabilir.

A Life Sağlık Grubu, dijital röntgen cihazları ve diğer tıbbi görüntüleme yöntemleri konusunda uzmanlaşmış radyoloji uzmanlarından oluşan deneyimli bir ekibe sahiptir. İleri teknolojiye sahip görüntüleme cihazlarımız ve hasta odaklı yaklaşımımızla, size en güvenilir ve doğru teşhisi sağlamak için buradayız.

dijital_r__ntgen_cihaz______087a0247.webp

Panoramik Röntgen​

Panoramik röntgen, diş hekimliğinde kullanılan özel bir röntgen çeşididir. Çenelerin, tüm dişlerin ve çevre dokuların tek bir filmde görüntülenmesini sağlar. Bu, diş hekimlerinin ağız ve çene yapısının genel bir değerlendirmesini yapmasına ve çeşitli diş ve çene problemlerini teşhis etmesine olanak tanır.

A Life Sağlık Grubu, panoramik röntgen çekimleri konusunda uzmanlaşmış deneyimli radyoloji uzmanlarından oluşan bir ekibe sahiptir. İleri teknolojiye sahip görüntüleme cihazlarımız ve hasta odaklı yaklaşımımızla, size en güvenilir ve doğru teşhisi sağlamak için buradayız.

Periapikal Röntgen​

Periapikal röntgen, diş hekimliğinde kullanılan bir röntgen çeşididir ve tek bir dişin tamamını, kök ucuna kadar olan bölgeyi, çevresindeki kemik yapılarını ve destek dokuları ayrıntılı bir şekilde gösterir. Bu röntgen türü, diş hekimlerinin dişin kökünü, çevresindeki kemik yapısını, ve olası enfeksiyonları veya diğer sorunları değerlendirmesine yardımcı olur.

A Life Sağlık Grubu, periapikal röntgen çekimleri konusunda uzmanlaşmış deneyimli radyoloji uzmanlarından oluşan bir ekibe sahiptir. İleri teknolojiye sahip görüntüleme cihazlarımız ve hasta odaklı yaklaşımımızla, size en güvenilir ve doğru teşhisi sağlamak için buradayız.

periapikal_r__ntgen____a1ebc6f1.webp

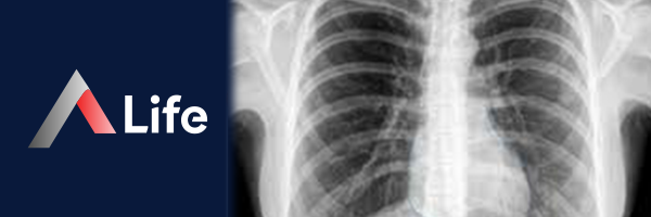
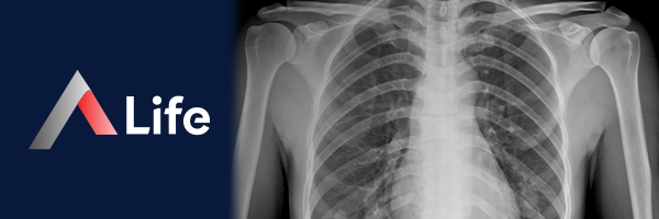
Akciğer Röntgeni​

Akciğer röntgeni, göğüs kafesinin, akciğerlerin, kalbin, büyük kan damarlarının ve diyaframın iç yapısını görüntülemek için kullanılan yaygın bir tanısal görüntüleme yöntemidir. Bu işlem, göğüs bölgesinden X-ışınları geçirilerek ve bu ışınların bir film veya dijital dedektör üzerine düşürülmesiyle gerçekleştirilir. X-ışınları, kemikler ve organlar gibi yoğun yapılar tarafından emilirken, daha az yoğun dokulara (akciğerler gibi) geçebilir. Bu, akciğerlerin ve diğer yapıların detaylı görüntülenmesini sağlar.

akci__er_r__ntgeni____f28dbb56.webp

Akciğer Röntgeni Ne İçin Kullanılır?

Akciğer röntgeni, birçok farklı amaç için kullanılabilir:

Ayak Röntgeni​

Ayak röntgeni, ayak kemiklerinin, eklemlerinin ve yumuşak dokularının ayrıntılı görüntülerini elde etmek için kullanılan yaygın bir tanısal görüntüleme yöntemidir. Bu işlemde, ayak bölgesinden X-ışınları geçirilir ve bu ışınlar özel bir film veya dijital dedektör üzerine düşürülerek ayak yapısının görüntüsü elde edilir. Röntgen, ayakta meydana gelen kırıklar, çıkıklar, kemik deformiteleri, artrit gibi eklem rahatsızlıkları ve diğer sorunların teşhisinde kullanılır.

ayak_r__ntgeni____30f0d0ff.webp

Ayak Röntgeni Ne İçin Kullanılır?

Ayak röntgeni, birçok farklı amaç için kullanılabilir:

  • Kırıklar: Ayak kemiklerindeki kırıkları tespit etmek ve kırığın tipini ve yerini belirlemek.
  • Çıkıklar: Ayak eklemlerindeki çıkıkları teşhis etmek.
  • Artrit: Ayak eklemlerindeki kireçlenme (osteoartrit) veya diğer artrit türlerini değerlendirmek.
  • Kemik deformiteleri: Doğuştan veya sonradan oluşan ayak kemiklerindeki şekil bozukluklarını teşhis etmek.
  • Yabancı cisimler: Ayağa batmış olan yabancı cisimleri tespit etmek.
  • Enfeksiyonlar: Kemik veya eklem enfeksiyonlarını değerlendirmek.
  • Tümörler: Ayak kemiklerindeki tümörleri teşhis etmek.
  • Ayak ağrısının nedenini belirlemek: Ayak ağrısının nedenini anlamak için röntgen çekilebilir.

El Röntgeni​

El röntgeni, el kemiklerinin, eklemlerinin ve yumuşak dokularının ayrıntılı görüntülerini elde etmek için kullanılan yaygın bir tanısal görüntüleme yöntemidir. Bu işlemde, el bölgesinden X-ışınları geçirilir ve bu ışınlar özel bir film veya dijital dedektör üzerine düşürülerek el yapısının görüntüsü elde edilir. Röntgen, elde meydana gelen kırıklar, çıkıklar, kemik deformiteleri, artrit gibi eklem rahatsızlıkları ve diğer sorunların teşhisinde kullanılır.

el_r__ntgeni____b15c08da.webp

El Röntgeni Ne İçin Kullanılır?

El röntgeni, birçok farklı amaç için kullanılabilir:

  • Kırıklar: El kemiklerindeki kırıkları tespit etmek ve kırığın tipini ve yerini belirlemek.
  • Çıkıklar: El eklemlerindeki çıkıkları teşhis etmek.
  • Artrit: El eklemlerindeki kireçlenme (osteoartrit) veya diğer artrit türlerini değerlendirmek.
  • Kemik deformiteleri: Doğuştan veya sonradan oluşan el kemiklerindeki şekil bozukluklarını teşhis etmek.
  • Yabancı cisimler: Ele batmış olan yabancı cisimleri tespit etmek.
  • Enfeksiyonlar: Kemik veya eklem enfeksiyonlarını değerlendirmek.
  • Tümörler: El kemiklerindeki tümörleri teşhis etmek.
  • El ağrısının nedenini belirlemek: El ağrısının nedenini anlamak için röntgen çekilebilir.
  • Kemik yaşı tayini: Çocuklarda kemik gelişimini değerlendirmek ve kemik yaşını belirlemek için el röntgeni çekilebilir.
Tıbbi İçerik Onay Bilgisi

Bu içerik, A Life Sağlık Grubu Genel Cerrahi birimi uzmanları tarafından tıbbi literatür ve güncel cerrahi protokoller ışığında incelenmiş ve onaylanmıştır.

İlgili Branş Hekimlerimiz:

Son Güncelleme: Aralık 2025 Doktor Profillerimizi Ziyaret Edin
A Life Tıbbi Yayın Kurulu tarafından hazırlanmıştır.

Son Güncelleme: 4 Mayıs 2026 14:23

Yayınlanma Tarihi: 23 Aralık 2024 01:26

Röntgen

Radyoloji Başvuru Formu

A life Sağlık Grubu bünyesinde sunulan modern radyolojik görüntüleme yöntemlerinden faydalanmak için

İlgili Üniteler

Benzer İçerikler

Yardıma mı ihtiyacınız var ?

7/24 tüm soru ve sorunlarınız için buradayız.