Kavernom Nedir?

Kavernom (Kavernöz Malformasyon)

Kavernom, beyinde veya omurilikte oluşan, anormal şekilde gelişmiş kan damarlarının bir araya gelerek oluşturduğu bir kütledir. Kavernöz malformasyon, kavernöz anjiyom veya serebral kavernom olarak da adlandırılan bu oluşumlar, genellikle doğuştan gelir ve çoğu zaman belirti vermezler. Ancak, nadir durumlarda kanama, nöbet veya diğer nörolojik problemlere yol açabilirler.

A Life Sağlık Grubu olarak hazırladığımız bu kapsamlı rehberde, kavernomu (kavernöz malformasyonu) derinlemesine ele alacağız. Kavernom nedir, neden olur, belirtileri nelerdir, nasıl teşhis edilir, tedavi seçenekleri nelerdir ve kavernom ile yaşam gibi konularda detaylı bilgi edinerek bu durum hakkında farkındalık kazanabilirsiniz.

Kavernom_f1bb7ec4.webp

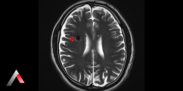
Kavernom Nedir?

Kavernom, beyinde veya omurilikte oluşan, anormal şekilde gelişmiş kan damarlarının bir araya gelerek oluşturduğu bir kütledir. Bu damarlar, normal kan damarları gibi düzgün bir yapıya sahip değildir ve ince duvarlı, genişlemiş ve düzensiz şekillidir. Kavernomlar, genellikle küçük boyutludur (birkaç milimetre ile birkaç santimetre arasında) ve tek başına veya birden fazla sayıda olabilirler. Çoğu zaman doğuştan gelir, yani kişi doğduğunda mevcuttur. Ancak, bazı durumlarda sonradan da gelişebilirler. Kavernomların neden oluştuğu tam olarak bilinmemektedir, ancak genetik faktörlerin rol oynadığı düşünülmektedir.

Kavernom Belirtileri

Kavernomların çoğu belirti vermez ve rutin bir beyin taraması sırasında tesadüfen keşfedilir. Ancak, bazı durumlarda aşağıdaki belirtiler görülebilir:

  • Nöbetler: Kavernomlar, beyindeki normal elektriksel aktiviteyi bozarak nöbetlere neden olabilir. Nöbetler, kasılmalar, bilinç kaybı, sersemlik ve diğer nörolojik belirtiler şeklinde kendini gösterebilir.
  • Baş ağrıları: Kavernomlar, beyin dokularına baskı yaparak baş ağrılarına neden olabilir.
  • Nörolojik defisitler: Kavernomlar, beyindeki fonksiyonel alanlara yakın yerleşmişse, felç, konuşma bozukluğu, görme bozukluğu, denge problemleri ve diğer nörolojik defisitlere neden olabilir.
  • Kanama: (Hemoraji) Kavernomlar kan sızdırabilir veya nadiren ciddi kanamalara neden olabilir. Kanama, baş ağrısı, nöbet, nörolojik defisitler veya daha ciddi komplikasyonlara (beyin hasarı, felç gibi) yol açabilir.

Kavernom Nedenleri

Kavernomların neden oluştuğu tam olarak bilinmemektedir. Ancak, genetik faktörlerin önemli bir rol oynadığı düşünülmektedir. Bazı durumlarda, kavernomlar ailelerde kalıtsal olarak geçebilir. Ayrıca, radyasyona maruz kalma ve bazı enfeksiyonlar da kavernom gelişimine katkıda bulunabilir.

Kavernom Teşhisi

Kavernom tanısı koymak için aşağıdaki yöntemler kullanılabilir:

  • Manyetik rezonans görüntüleme (MR): Beynin detaylı görüntülerini elde etmek için kullanılan bir görüntüleme yöntemidir. MR, kavernomları teşhis etmek için en etkili yöntemdir.
  • Bilgisayarlı tomografi (BT): Beynin kesitsel görüntülerini elde etmek için kullanılan bir görüntüleme yöntemidir. BT, kavernomları her zaman gösteremeyebilir, ancak kanama varlığında faydalı olabilir.
  • Anjiyografi: Kan damarlarının görüntülerini elde etmek için kullanılan bir yöntemdir. Kavernomları değerlendirmek ve diğer damar anomalilerini dışlamak için kullanılabilir.

Kavernom Tedavisi

Kavernom tedavisi, kavernomun büyüklüğüne, yerleşimine, belirtilerine ve kanama riskine bağlı olarak değişir. Tedavi seçenekleri şunlardır:

  • Gözlem: Belirti vermeyen ve kanama riski düşük olan kavernomlar düzenli olarak MR ile izlenebilir.
  • İlaç tedavisi: Nöbetleri kontrol altına almak için antiepileptik ilaçlar kullanılabilir.
  • Cerrahi: Belirti veren, kanama riski yüksek olan veya cerrahi olarak ulaşılabilir bir konumda bulunan kavernomlar cerrahi olarak çıkarılabilir.
  • Radyocerrahi: Cerrahi olarak ulaşılamayan veya yüksek riskli kavernomların tedavisinde kullanılabilir. Bu yöntemde, kavernomu yok etmek için yüksek dozda radyasyon uygulanır.

Kavernom ile Yaşam

Kavernom olan kişiler, aşağıdaki önerilere uyarak yaşam kalitelerini artırabilir ve komplikasyon riskini azaltabilirler:

  • Düzenli doktor kontrollerine gidin: Kavernomunuzun izlenmesi ve tedavinizin ayarlanması için düzenli olarak doktor kontrollerine gidin.
  • Nöbet geçiriyorsanız, nöbet ilaçlarınızı düzenli olarak alın: Nöbet ilaçları, nöbet sık lığını ve şiddetini azaltmaya yardımcı olabilir.
  • Stres yönetin: Stres, kavernom kanaması riskini artırabilir. Stres yönetimi teknikleri (meditasyon, yoga gibi) kullanarak stresinizi kontrol altında tutun.
  • Kafa travmasından kaçının: Kafa travması, kavernom kanaması riskini artırabilir. Spor yaparken veya diğer aktivitelerde bulunurken koruyucu başlık kullanın.
  • Kan sulandırıcı ilaçlar kullanıyorsanız dikkatli olun: Kan sulandırıcı ilaçlar, kanama riskini artırabilir. Bu ilaçları kullanmadan önce doktorunuzla görüşün.
  • Destek gruplarına katılın: Kavernom ile yaşayan diğer insanlarla iletişim kurmak ve deneyimlerinizi paylaşmak size destek olabilir.

Kavernom Hakkında Sıkça Sorulan Sorular

1. Kavernom tehlikeli midir?

Kavernomların çoğu tehlikeli değildir ve hiçbir belirtiye neden olmaz. Ancak, bazı kavernomlar kanama, nöbet veya diğer nörolojik problemlere yol açabilir. Kavernomun boyutu, yerleşimi ve kanama öyküsü gibi faktörler risk seviyesini belirler.

2. Kavernom kansere dönüşür mü?

Hayır, kavernomlar kanserli değildir ve kansere dönüşmezler.

3. Kavernom genetik midir?

Bazı kavernomlar ailelerde kalıtsal olarak geçebilir, ancak çoğu kavernom sporadiktir, yani genetik bir neden olmadan ortaya çıkar.

4. Kavernom nasıl tedavi edilir?

Kavernom tedavisi, kavernomun büyüklüğüne, yerleşimine, belirtilerine ve kanama riskine bağlı olarak değişir. Tedavi seçenekleri arasında gözlem, ilaç tedavisi, cerrahi ve radyocerrahi yer alır.

5. Kavernom için hangi doktora gidilmelidir?

Kavernom şikayetleriniz için bir nöroloğa veya beyin cerrahına başvurabilirsiniz.

Unutmayın, kavernom ciddi bir durum olsa da, çoğu vakada belirti vermez ve tedavi gerektirmez. Eğer kavernom belirtileri yaşıyorsanız veya kavernom tanısı konduysa, bir doktora başvurun ve size uygun tedavi seçeneklerini değerlendirin.

A Life Sağlık Grubu olarak, alanında uzman nörologlarımız ve beyin cerrahlarımızla kavernom (kavernöz malformasyon) tanısı ve tedavisinde size en iyi sağlık hizmetini sunmaktayız. Detaylı bilgi ve randevu için bizimle iletişime geçebilirsiniz.

Tıbbi İçerik Onay Bilgisi

Bu içerik, A Life Sağlık Grubu Genel Cerrahi birimi uzmanları tarafından tıbbi literatür ve güncel cerrahi protokoller ışığında incelenmiş ve onaylanmıştır.

İlgili Branş Hekimlerimiz:

Son Güncelleme: Aralık 2025 Doktor Profillerimizi Ziyaret Edin
A Life Tıbbi Yayın Kurulu tarafından hazırlanmıştır.

Son Güncelleme: 6 Kasım 2025 14:05

Yayınlanma Tarihi: 24 Nisan 2024 17:12

Kavernom Nedir?

Tedavi Rehberi Bilgilendirme Formu

Araştırma Yaptığınız Konu ve Hastalık Hakkında Uzman Hekimlerimize Danışarak Sizlere Geri Dönüş Sağl

İlgili Bölümler
İlgili Hekimler
Benzer İçerikler

Yardıma mı ihtiyacınız var ?

7/24 tüm soru ve sorunlarınız için buradayız.