Araknoid Kist

Araknoid Kist

Araknoid kist, beyin veya omurilik ile beyni ve omuriliği çevreleyen zar tabakalarından biri olan araknoid membran arasında gelişen, beyin omurilik sıvısı (BOS) ile dolu, kese benzeri yapılardır. Bu kistler, çoğunlukla doğuştan (konjenital) gelirler ve genellikle iyi huyludur. Ancak, bazı durumlarda büyüyerek çevre dokulara baskı yapabilirler ve çeşitli nörolojik sorunlara yol açabilirler. Araknoid kistlerin belirtileri, kistin büyüklüğüne, konumuna ve çevre yapılara yaptığı baskıya bağlı olarak değişir. Bu bilgilendirme sayfasında, araknoid kistler hakkında daha detaylı bilgi edinebilirsiniz.

Araknoid Kist Nedir?

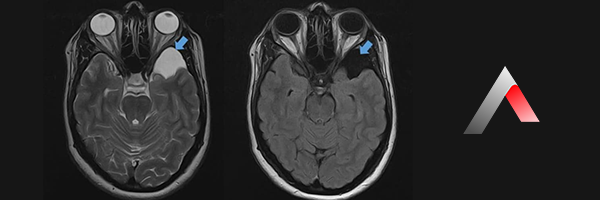
Araknoid kist, beyin veya omurilikte gelişen, beyin omurilik sıvısı (BOS) ile dolu iyi huylu bir kesedir. Genellikle araknoid zar adı verilen, beyni ve omuriliği çevreleyen zarlardan birinde oluşur. Çoğu araknoid kist doğumda mevcuttur (konjenital) ve herhangi bir belirtiye neden olmaz. Ancak bazı durumlarda, kist büyüyebilir ve beyne baskı yaparak çeşitli nörolojik sorunlara yol açabilir.

Araknoid_kist_nedir_a5cd650d.webp

Araknoid Kist Türleri

Bu kistler, bulundukları yere göre farklı türlere ayrılır. İşte araknoid kistlerin başlıca türleri:

  • Serebral Araknoid Kistleri (Beyin Araknoid Kistleri): Beyin yarım küreleri arasında veya beyin yüzeyinde bulunurlar. En sık görülen türdür.
  • Posterior Fossa Araknoid Kistleri: Beyinciğin arkasında, beynin alt ve arka kısmında yer alırlar.
  • Suprasellar Araknoid Kistleri: Beyin tabanında, hipofiz bezinin üzerinde bulunurlar. Bu kistler hormonal bozukluklara neden olabilir.
  • Spinal Araknoid Kistleri (Omurilik Araknoid Kistleri): Omuriliği çevreleyen zarlar içinde bulunurlar.

Suprasellar Araknoid Kistleri

Suprasellar araknoid kistleri, beyin tabanında, hipofiz bezinin (vücuttaki birçok hormonun salgılanmasını kontrol eden küçük bir bez) ve optik kiazmanın (görme sinirlerinin çaprazlaştığı nokta) üzerinde yerleşen araknoid kistlerdir. Araknoid zarlar, beyin ve omuriliği çevreleyen ince zarlardır ve bu zarların arasında beyin omurilik sıvısı (BOS) bulunur.

Bu kistlerin özellikleri şunlardır:

  • Konumları: Beynin bu bölgesindeki önemli yapılara yakınlıkları (hipotalamus, optik yollar, hipofiz, vb.) nedeniyle, semptomlara neden olma olasılıkları diğer araknoid kist tiplerine göre daha yüksektir.
  • Etkileri: Kistler büyüdükçe bu önemli yapılara baskı yaparak çeşitli hormonal, görsel ve nörolojik sorunlara yol açabilirler.

Posterior Fossa Araknoid Kistleri

Posterior fossa araknoid kistleri, beyinciğin arkasında, beynin alt ve arka kısmında yer alan, araknoid zar adı verilen ince bir zarda gelişen beyin omurilik sıvısı (BOS) ile dolu keseciklerdir. Posterior fossa, kafatasının bu bölgesinde bulunan beyin yapılarını barındırır. Bu kistler, diğer beyin bölgelerinde görülen araknoid kistlerine benzer şekilde, genellikle iyi huyludur.

Posterior Fossa Araknoid Kistleri Hakkında Bilmeniz Gerekenler:

  • Konjenital Olma Eğilimi: Posterior fossa araknoid kistleri genellikle doğuştan gelir. Yani, bu kistler anne karnındaki gelişim sırasında oluşur. Araknoid zarlarının anormal gelişimi kistlerin oluşumuna neden olabilir.
  • Sıklığı: İntrakraniyal araknoid kistlerin (beyin içindeki araknoid kistlerin) yaklaşık %20-30'unu posterior fossa araknoid kistleri oluşturur.
  • En Sık Görülen Yeri: Posterior fossada en sık görüldükleri yerler arasında serebellopontin köşe ve vermis (beyincik ortası) yer alır.

Serebral Araknoid Kistleri (Beyin Araknoid Kistleri)

Serebral araknoid kistleri (beyin araknoid kistleri), beyin ve omuriliği çevreleyen zarlardan biri olan araknoid membranda gelişen, beyin omurilik sıvısı (BOS) ile dolu keseciklerdir. Bu kistler, beynin farklı bölgelerinde meydana gelebilir ve en sık görülen beyin kisti türlerinden biridir.

Serebral araknoid kistleri beynin farklı bölgelerinde bulunabilir, ancak en sık şuralarda görülürler:

  • Orta fossa: Beynin temporal lobunun (şakak lobu) bulunduğu bölgede.
  • Serebellar bölgeler: Beyinciğin etrafında.
  • Süpersellar bölge: Hipofiz bezinin üzerinde.
  • Beynin yüzeyinde: Beyin yarım kürelerinin dışında.

Spinal Araknoid Kistleri (Omurilik Araknoid Kistleri)

Spinal araknoid kistleri, omuriliği ve omuriliği çevreleyen yapıları koruyan üç zardan biri olan araknoid zarı içinde oluşan, sıvı dolu keseciklerdir. Bu kistler, omurilik içinde veya omurilik çevresinde herhangi bir seviyede ortaya çıkabilir.

Spinal araknoid kistleri hakkında bilinmesi gereken bazı önemli noktalar:

  • Araknoid zar, beyin ve omuriliği kaplayan üç zardan ortada olanıdır. İnce ve şeffaf bir yapıya sahiptir.
  • Spinal araknoid kistleri, araknoid zarın yaprakları arasında bir kese oluştuğunda ve bu kese beyin omurilik sıvısı (BOS) ile dolduğunda meydana gelir.
  • Genellikle iyi huyludur (kanserli değildir) ve çoğu durumda yavaş büyürler.

Araknoid Kist Neden Olur?

Araknoid kistlerin oluşum nedenleri, birincil (doğuştan) ve ikincil (sonradan edinilen) olmak üzere iki ana kategoride incelenebilir:

Primer (Doğuştan) Araknoid Kist Nedenleri

  • Gelişimsel Anomaliler: Bu kistlerin büyük bir çoğunluğu doğuştan gelir. Araknoid zarlarının -beyni ve omuriliği çevreleyen ince, zar benzeri yapılar- anne karnındaki gelişim sürecinde anormallikler ortaya çıkması sonucu oluşurlar. Bu anormallikler şunları içerebilir:
    • Araknoid zarının katlanmasında veya ayrılmasında sorunlar.
    • Araknoid zar yaprakları arasında bir ayrışma veya yapışma olması.
    • Beyin omurilik sıvısının (BOS) dolaşımında yaşanan bozukluklar.
  • Genetik Yatkınlık: Bazı araştırmalar, bazı araknoid kistlerin oluşumunda genetik faktörlerin rol oynayabileceğini öne sürmektedir. Ancak, bu genetik bağlantı tam olarak anlaşılamamıştır.
  • Tamamen Bilinmeyen Nedenler: Bazı vakalarda, doğuştan gelen araknoid kistlerin nedenleri tam olarak açıklanamayabilir.

Sekonder (Sonradan Edinilen) Araknoid Kist Nedenleri

  • Kafa Travması: Kafa travmaları, özellikle de şiddetli darbeler, düşmeler veya trafik kazaları gibi durumlarda, araknoid zarında yırtılmalara veya hasara neden olabilir. Bu hasar, zarlar arasında sıvı birikmesine ve kist oluşumuna yol açabilir.
  • Enfeksiyonlar: Menenjit gibi merkezi sinir sistemini etkileyen enfeksiyonlar, araknoid zarda iltihaplanmaya neden olarak kist oluşumunu tetikleyebilir.
  • Cerrahi İşlemler: Nadiren, beyin ameliyatları veya diğer cerrahi prosedürler sonrasında araknoid kistler gelişebilir.
  • Diğer Nadir Nedenler: Tümörler veya kanamalar da çok nadir olarak araknoid kist oluşumuna neden olabilir.

Araknoid Kist Belirtileri

Araknoid kistlerin belirtileri, kistin bulunduğu yere, büyüklüğüne ve çevre dokulara baskı yapıp yapmadığına bağlı olarak değişiklik gösterebilir. Bazı kişilerde araknoid kistler hiçbir belirtiye neden olmaz ve genellikle başka bir nedenle yapılan beyin veya omurilik görüntülemelerinde tesadüfen tespit edilirler. Bu tür kistler "asemptomatik" olarak adlandırılır.

Ancak kist büyürse veya hassas beyin yapılarına baskı yaparsa, çeşitli belirtiler ortaya çıkabilir.

Araknoid kistlerinin en yaygın görülen belirtileri:

Araknoid Kist Genel Belirtileri

  • Baş Ağrısı: Özellikle sabahları şiddetli olabilen ve zamanla kötüleşebilen baş ağrıları.
  • Baş Dönmesi ve Denge Problemleri: Denge kaybı, baş dönmesi, koordinasyon bozuklukları.
  • Mide Bulantısı ve Kusma: Özellikle beyin sapı veya beyincik bölgesinde yerleşen kistlerde.
  • Kronik Yorgunluk: Sürekli halsizlik ve yorgunluk hissi.

Beyindeki Araknoid Kistlere Bağlı Belirtiler

  • Nöbetler: Özellikle temporal lob veya beyin yarım kürelerinde yerleşen kistler epilepsiye neden olabilir.
  • Görme Bozuklukları: Çift görme, bulanık görme, görme alanında kayıplar (özellikle hipofiz bezi yakınındaki kistlerde).
  • İşitme Problemleri: İşitme kaybı veya kulak çınlaması (tinnitus).
  • Hormonal Bozukluklar: Hipofiz bezi yakınında bulunan kistler, hormonal dengesizliklere neden olabilir (örneğin erken ergenlik, büyüme hormonu sorunları).
  • Bilişsel Fonksiyon Bozuklukları: Odaklanma zorluğu, hafıza problemleri.
  • Davranışsal veya Ruhsal Değişiklikler: Duygu durumunda dalgalanmalar, kişilik değişiklikleri.
  • Bebeklerde Kafa Büyüklüğü (Hidrosefali): Kistin beyin omurilik sıvısının akışını engellemesi durumunda.

Omurilikteki Araknoid Kistlere Bağlı Belirtiler

  • Sırt ve Bel Ağrısı: Kistin bulunduğu bölgede ağrı.
  • Bacaklarda ve Kollarda Güçsüzlük: Kas güçsüzlüğü, istem dışı hareketler.
  • Uyuşma ve Karıncalanma: Bacaklarda ve kollarda uyuşma, karıncalanma.
  • Mesane ve Bağırsak Problemleri: İdrar veya dışkı kontrolünde sorunlar (nadir).

Önemli Uyarılar:

  • Bu belirtilerin birçoğu başka sağlık sorunlarına da işaret edebilir. Bu nedenle, doğru teşhis ve tedavi için bir doktora danışmak önemlidir.
  • Araknoid kistlerin çoğu asemptomatik olduğu için, özellikle bu belirtiler sizde varsa ve doktorunuz bir kist teşhisi koyduysa, belirtilerinizin kiste bağlı olup olmadığını belirlemek için doktorunuzla yakın işbirliği içinde olmanız önemlidir.

Araknoid Kist Komplikasyonları

Araknoid kistler, beyin ve omuriliği çevreleyen araknoid zarlarında oluşan sıvı dolu keselerdir. Çoğu zaman belirti vermezler ve tesadüfen saptanırlar. Ancak, büyüdüklerinde veya belirli bölgelerde yerleştiklerinde çeşitli komplikasyonlara yol açabilirler.

Araknoid kistlerin potansiyel komplikasyonları:

A. Hidrosefali (Beyinde Sıvı Birikimi):

  • Araknoid kistler, beyin omurilik sıvısının (BOS) normal akışını engelleyebilirler. Bu durum, BOS'un beyinde birikmesine ve hidrosefaliye neden olabilir. Hidrosefali, artan kafa içi basıncına ve ciddi nörolojik hasara yol açabilir.

B. Artan Kafa İçi Basıncı:

  • Büyüyen bir kist, beyin dokusuna baskı yaparak kafa içi basıncını artırabilir. Artan kafa içi basıncı, şiddetli baş ağrısı, kusma, görme bozuklukları, bilinç kaybı ve hatta ölüme kadar varan ciddi sonuçlara yol açabilir.

C. Nörolojik Bozukluklar:

  • Araknoid kistlerin baskısı, beyin veya omuriliğin belirli bölgelerinin işlevini bozabilir. Bu, çeşitli nörolojik belirtilere neden olabilir:
    • Nöbetler: Özellikle beyin kabuğu yakınındaki kistler nöbetlere yol açabilir.
    • Hareket bozuklukları: Koordinasyon sorunları, dengesizlik veya güç kaybı.
    • Duyu kayıpları: Uyuşma, karıncalanma.
    • Görsel veya işitsel bozukluklar: Çift görme, bulanık görme, işitme kaybı.
    • Felç: Omurilikteki kistler omurilik kompresyonu yaparak felce neden olabilir.
    • Konuşma bozuklukları.

D. Gelişimsel Gecikmeler (Çocuklarda):

  • Çocuklarda, araknoid kistler beyin gelişimini etkileyebilir ve gelişimsel gecikmelere yol açabilir.

E. Kist Rüptürü (Yırtılması) ve Kanama:

  • Nadir durumlarda, araknoid kistler travma veya kendiliğinden yırtılabilir. Bu durum, beyin içinde veya çevresinde kanamaya neden olabilir ve acil tıbbi müdahale gerektirir.

Araknoid Kist Teşhisi Nasıl Yapılır?

Araknoid kistlerin teşhisi genellikle nörolojik değerlendirme ve görüntüleme yöntemlerinin kombinasyonuyla konulur.

Araknoid kist teşhisinin temel adımları:

A. Nörolojik Muayene:

  • Doktor, hastanın semptomlarını ve tıbbi geçmişini detaylı olarak değerlendirir. Özellikle baş ağrısı, baş dönmesi, nöbetler, görme veya işitme sorunları gibi potansiyel araknoid kist belirtilerini sorgular.
  • Nörolojik muayene sırasında hastanın refleksleri, kas gücü, duyusal fonksiyonları, denge ve koordinasyonu test edilir. Bu muayene, kistin beyin veya omuriliğin hangi bölgesini etkilediğine dair ipuçları sağlayabilir.

B. Görüntüleme Yöntemleri:

Görüntüleme yöntemleri, araknoid kistlerin teşhisinde en önemli araçlardır.

  • Manyetik Rezonans Görüntüleme (MRG): MRG, araknoid kistlerin tanısında altın standart olarak kabul edilir. MRG, beyin ve omurilikteki yumuşak dokuların son derece detaylı görüntülerini sağlar ve kistin boyutunu, konumunu, içeriğini ve çevre dokular üzerindeki etkisini açıkça gösterir. Özellikle araknoid kistleri diğer sıvı dolu yapılardan (örneğin epidermoid kistler) ayırt etmek için çok etkilidir.
  • Bilgisayarlı Tomografi (BT): BT taraması da araknoid kistlerin varlığını ve yerleşimini belirlemek için kullanılabilir. Ancak, yumuşak dokuları MRG kadar iyi göstermez. BT, özellikle kistin kemik yapılarla ilişkisini daha iyi değerlendirmek gerektiğinde veya acil durumlarda (örneğin travma sonrası) tercih edilebilir.

C. Tanı Süreci:

  • Tesadüfi Keşif: Çoğu araknoid kist, başka bir nedenle yapılan beyin veya omurilik görüntülemelerinde tesadüfen tespit edilir. Bu durumda, eğer hasta herhangi bir belirti yaşamıyorsa, kistin düzenli aralıklarla izlenmesi yeterli olabilir.
  • Semptom Varlığı Durumu: Semptomlar yaşayan hastalarda, doktor semptomların kist ile ilişkili olup olmadığını belirlemek için görüntüleme sonuçlarını ve nörolojik muayene bulgularını dikkatlice değerlendirir.

Araknoid Kist Tedavisi Nasıl Yapılır?

Araknoid kistlerin tedavisi, kistin boyutuna, konumuna, hastada yarattığı belirtilere ve hastanın genel sağlık durumuna bağlı olarak değişir. Birçok araknoid kist belirtiye neden olmaz ve tesadüfen saptanır. Bu tür kistler genellikle tedavi gerektirmez, ancak düzenli takip önerilebilir.

A. Belirti Vermeyen Araknoid Kistlerde Tedavi:

  • Gözlem ve Takip: Herhangi bir semptoma yol açmayan ve zamanla büyüme eğilimi göstermeyen araknoid kistler için düzenli aralıklarla MR veya BT taramaları yapılarak kistin büyüklüğü ve çevre dokularla olan ilişkisi kontrol edilir. Bu genellikle yeterli bir yaklaşımdır.

B. Belirti Veren Araknoid Kistlerde Tedavi:

Eğer araknoid kist, aşağıdaki gibi semptomlara neden oluyorsa veya ciddi sağlık riskleri taşıyorsa, tedavi gerekebilir:

  • Şiddetli baş ağrısı
  • Nöbetler
  • Görme veya işitme sorunları
  • Denge problemleri
  • Motor veya duyu kaybı
  • Kafa içi basıncının artması (hidrosefali)

Tedavi seçenekleri şunları içerebilir:

  • Cerrahi Müdahale:

    • Kist Fenestrasyonu (Açılması): Kist duvarında küçük delikler açılarak, kist içindeki sıvının beyin omurilik sıvısı (BOS) dolaşımına katılması sağlanır. Bu, kistin boyutunu küçültmeye ve baskıyı azaltmaya yardımcı olur. Bu işlem endoskopik olarak (burundan kamera ile girilerek) veya kraniotomi (kafatası açılarak yapılan cerrahi) yöntemiyle yapılabilir.
    • Kist Eksizyonu (Çıkarılması): Kistin tamamının cerrahi olarak çıkarılmasıdır. Bu yöntem daha az tercih edilir, çünkü kistin çevresindeki hassas beyin dokularına zarar verme riski daha yüksektir.
    • Şant Yerleştirilmesi: Bir şant (ince tüp) yardımıyla kist içindeki sıvı, başka bir vücut boşluğuna (genellikle karın) yönlendirilir. Bu yöntem, kistin neden olduğu hidrosefaliyi tedavi etmek için kullanılabilir.
  • İlaç Tedavisi:

    • Araknoid kistlerin kendisi ilaçlarla tedavi edilemez. Ancak kistin neden olduğu semptomları kontrol altına almak için ilaçlar reçete edilebilir. Örneğin, nöbetler için antiepileptik ilaçlar, baş ağrısı için ağrı kesiciler verilebilir.

A life'ta Araknoid Kist Tedavisi

A Life Sağlık Grubu olarak, araknoid kistlerin tanı ve tedavisinde en güncel yöntemlerle hizmetinizdeyiz. Araknoid kistler, beyin ve omuriliği saran araknoid zarlarında oluşan, beyin omurilik sıvısı (BOS) ile dolu keseciklerdir. Çoğu zaman belirti vermese de, bazı durumlarda ciddi nörolojik sorunlara yol açabilirler.

Araknoid kistlerin tedavisinde multidisipliner bir yaklaşım benimsemekteyiz. Hastalarımızın durumuna özel olarak hazırlanan tedavi planları, deneyimli nöroşirurji uzmanlarımız tarafından titizlikle uygulanır.

  • Detaylı Tanı Süreci:
    • Araknoid kistlerin doğru teşhisi için, A Life Sağlık Grubu'nda gelişmiş görüntüleme yöntemleri kullanılmaktadır. Bilgisayarlı tomografi (BT) ve manyetik rezonans görüntüleme (MRG) gibi tekniklerle kistin boyutu, yeri, yapısı ve çevre dokularla olan ilişkisi detaylı olarak incelenir.
  • Kişiye Özel Tedavi Yaklaşımı:
    • Her hasta için en uygun tedavi yöntemi, kistin özelliklerine ve hastanın semptomlarına göre belirlenir. Bu amaçla, nöroşirurji uzmanlarımız hastalarımızı yakından takip eder ve en güncel tedavi seçeneklerini sunar.
  • Cerrahi Müdahale Seçenekleri:
    • A Life Sağlık Grubu'nda, araknoid kistlerin cerrahi tedavisi için farklı yöntemler bulunmaktadır:
      • Kist Fenestrasyonu (Açılması): Kistin içindeki sıvının beyin omurilik sıvısı dolaşımına aktarılması hedeflenir.
      • Kist Eksizyonu (Çıkarılması): Kistin tamamının cerrahi olarak çıkarılması hedeflenir.
      • Şant Uygulaması: Kist sıvısının vücudun başka bir bölgesine taşınması için bir şant sistemi yerleştirilir.

A Life Sağlık Grubu olarak, araknoid kist tedavisi sürecinde size en iyi sonuçları sunmak için buradayız. Daha fazla bilgi almak ve randevu oluşturmak için lütfen bizimle iletişime geçiniz.

Tıbbi İçerik Onay Bilgisi

Bu içerik, A Life Sağlık Grubu Genel Cerrahi birimi uzmanları tarafından tıbbi literatür ve güncel cerrahi protokoller ışığında incelenmiş ve onaylanmıştır.

İlgili Branş Hekimlerimiz:

Son Güncelleme: Aralık 2025 Doktor Profillerimizi Ziyaret Edin
A Life Tıbbi Yayın Kurulu tarafından hazırlanmıştır.

Son Güncelleme: 6 Kasım 2025 14:05

Yayınlanma Tarihi: 13 Aralık 2024 07:58

Araknoid Kist

Ameliyat Başvuru Formu

Fiyatlarımız ve Uygulama Yöntemlerimiz Hakkında Hızlı Bilgi Alma Formumuzu Kullanabilirsiniz.

İlgili Bölümler
İlgili Hekimler
Benzer İçerikler

Yardıma mı ihtiyacınız var ?

7/24 tüm soru ve sorunlarınız için buradayız.