Akciğerde Leke Nedir? Akciğerde Leke Neden Olur?

Akciğerde Leke

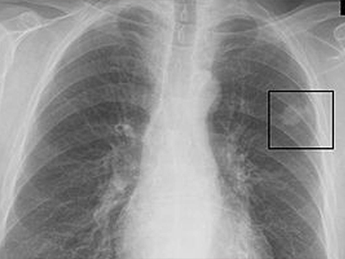
Akciğerde leke, akciğer dokusunda normalden farklı olarak görülen ve genellikle akciğer röntgeni veya bilgisayarlı tomografi (BT) gibi görüntüleme yöntemleriyle tespit edilen anormal oluşumlardır. Bu lekeler, boyut, şekil ve yoğunluk açısından farklılık gösterebilir ve çeşitli sağlık sorunlarının belirtisi olabilir. Akciğerde leke neden olur sorusunun cevabı oldukça geniştir; enfeksiyonlar (zatürre, tüberküloz), iltihaplanmalar, tümörler (iyi huylu veya kötü huylu), yabancı cisimler, skar dokusu ve nadir görülen bazı hastalıklar bu lekelere neden olabilir. Akciğerde leke tespit edildiğinde, altta yatan nedeni belirlemek ve uygun tedaviyi uygulamak için ileri tetkikler gerekebilir.

Akci__erde_Leke_19cd36ca.webp

Akciğerde Leke Nedir​?

Akciğerde leke, genellikle akciğer röntgeni veya bilgisayarlı tomografi (BT) gibi görüntüleme testlerinde görülen ve normal akciğer dokusundan farklı bir görünüm sergileyen alandır. Bu lekeler, çeşitli nedenlerle ortaya çıkabilir ve her zaman ciddi bir sorunu işaret etmeyebilir.

Akciğerde leke terimi, tıbbi bir terim olmaktan ziyade, halk arasında kullanılan bir ifadedir. Tıp dilinde, akciğerdeki bu tür görünümler genellikle "nodül", "infiltrasyon" veya "opaklık" gibi terimlerle ifade edilir.

Akciğerde Leke Türleri Nedir?

Akciğerde "leke" olarak adlandırılan durum, radyolojik görüntüleme (röntgen, BT) ile saptanan ve normal akciğer dokusundan farklı görünen alanları ifade eder. Tıbbi literatürde bu görünümler için daha spesifik terimler kullanılır. "Leke"nin türü, altta yatan nedene ve görüntüleme özelliklerine göre değişir. Yaygın akciğer leke türleri şunlardır:

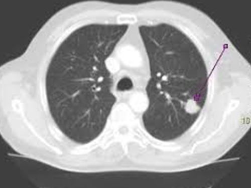
Akciğerde Nodül:

  • Akciğerde görülen, genellikle 3 cm'den küçük, yuvarlak veya oval şekilli, sınırları belirli lezyonlardır.
    • Solid nodüller: Tamamen yoğun yapıda olan nodüllerdir.
    • Yarı solid nodüller (subsolid): Hem yoğun, hem de yoğun olmayan (buzlu cam) alanlar içeren nodüllerdir.
    • Buzlu cam nodüller (ground-glass opacity): Akciğerde yoğunluğu hafifçe artmış, buzlu cam görünümünde alanlardır.

Akciğerde İnfiltrasyon:

  • Akciğer dokusuna yayılmış, sınırları belirsiz, daha geniş bir lezyon alanıdır.
  • Genellikle enfeksiyon veya iltihap gibi yaygın bir sürecin sonucudur.

Akciğerde Konsolidasyon:

  • Akciğerdeki hava keseciklerinin (alveoller) sıvı, irin veya hücrelerle dolması sonucu ortaya çıkan, yoğun ve sınırları belirgin bir lezyondur.
  • Genellikle zatürre gibi enfeksiyonlarda görülür.

Akciğerde Fibrozis:

  • Akciğer dokusunda yara dokusu oluşumu ve sertleşmedir.
  • Geçirilmiş enfeksiyonlar, iltihaplı hastalıklar veya çevresel faktörler sonucu oluşabilir.

Akciğerde Atelektazi:

  • Akciğerin bir bölümünün veya tamamının sönmesidir.
  • Akciğerde hava olmaması nedeniyle yoğun bir görünüm oluşturur.

Akciğerde Pulmoner emboli:

  • Akciğer arterlerinden birinin veya daha fazlasının kan pıhtısı nedeniyle tıkanmasıdır.
  • Görüntüleme de pıhtının konumuna bağlı olarak çeşitli lekeler olarak görülebilir.

Önemli Not:

  • Akciğerdeki lekelerin türü, altta yatan hastalığın teşhisi için önemlidir.
  • Lekenin boyutu, şekli, yoğunluğu ve diğer görüntüleme özellikleri, doktorlara bilgi sağlar.
  • Akciğerdeki bir lekenin ne olduğunu belirlemek için genellikle ek tetkikler (kan testleri, balgam kültürü, bronkoskopi, biyopsi vb.) gerekir.

Akciğerde Leke Neden Olur?

Akciğerde leke, röntgen veya bilgisayarlı tomografi (BT) gibi görüntüleme yöntemleriyle akciğer dokusunda görülen anormal görünümlerdir. Bu lekelerin nedenleri oldukça çeşitlidir ve her zaman ciddi bir sorunu işaret etmez. İşte akciğerde leke oluşumuna yol açabilen bazı yaygın nedenler:

  • Enfeksiyonlar:
    • Zatürre (pnömoni): Akciğer dokusunun iltihaplanması, lekeler oluşturabilir.
    • Tüberküloz (verem): Özellikle akciğerlerde lekelere neden olan bulaşıcı bir hastalıktır.
    • Mantar enfeksiyonları: Aspergillus gibi mantarlar akciğerlerde enfeksiyona yol açabilir.
  • İltihaplı Hastalıklar:
    • Sarkoidoz: Akciğerlerde ve diğer organlarda küçük iltihap hücreleri kümelerinin (granülomlar) oluşmasına neden olan bir hastalıktır.
    • Romatoid artrit: Romatoid artrit hastalarında akciğerlerde nodüller veya fibrozis (akciğer dokusunda sertleşme) görülebilir.
  • Akciğer Tümörleri:
    • Akciğer kanseri: Akciğerde lekelere neden olabilen kötü huylu tümörlerdir.
    • İyi huylu tümörler: Nadiren de olsa iyi huylu tümörler de lekelere yol açabilir.
  • Diğer Nedenler:
    • Akciğer fibrozisi: Akciğer dokusunda sertleşme ve yara izi oluşumu.
    • Akciğer embolisi: Akciğer damarlarında tıkanıklık.
    • Akciğer ödemi: Akciğerlerde sıvı birikimi.
    • Geçirilmiş enfeksiyonların bıraktığı izler.
Akci__erde_Leke_Neden_Olur_f7f413c9.webp

Akciğerde Leke Nasıl Oluşur?

Akciğerde leke oluşumu, akciğer dokusunda meydana gelen çeşitli değişiklikler sonucunda ortaya çıkar. Bu değişiklikler, farklı hastalıklar veya durumlar nedeniyle oluşabilir ve görüntüleme testlerinde (röntgen, BT) anormal görünümler olarak tespit edilir. İşte akciğerde leke oluşumuna yol açabilen temel mekanizmalar:

  • Enfeksiyon ve Enflamasyon:
    • Enfeksiyonlar (bakteriyel, viral, fungal) akciğer dokusunda iltihaplanmaya neden olur. Bu iltihaplanma, akciğerde sıvı birikimine, hücre hasarına ve doku değişikliklerine yol açarak leke oluşumuna zemin hazırlar.
    • Örneğin, zatürre (pnömoni) akciğer dokusunda iltihaplı bir alan oluştururken, tüberküloz (verem) granülom adı verilen küçük nodüller oluşturabilir.
  • Tümör Oluşumu:
    • Akciğer kanseri gibi kötü huylu tümörler, akciğer dokusunda anormal hücre büyümesine neden olur. Bu büyüme, akciğerde kitle veya leke olarak görülebilir.
    • İyi huylu tümörler de nadiren leke oluşumuna yol açabilir.
  • Doku Hasarı ve Yara İzi:
    • Geçirilmiş enfeksiyonlar, travmalar veya iltihaplı hastalıklar akciğer dokusunda yara izi (fibrozis) bırakabilir. Bu yara izleri, akciğerde leke olarak görülebilir.
  • Sıvı Birikimi:
    • Akciğer ödemi gibi durumlarda, akciğerlerde sıvı birikimi leke oluşumuna neden olabilir.
    • Akciğer embolisi gibi durumlarda, akciğerde kan damarlarının tıkanması sonucunda sıvı birikmesi ve leke oluşması mümkün olur.
  • Granülom Oluşumu:
    • Sarkoidoz gibi hastalıklarda, akciğerlerde granülom adı verilen iltihaplı hücre kümeleri oluşur. Bu granülomlar, akciğerde leke olarak görülebilir.

Akciğer dokusunda meydana gelen çeşitli patolojik değişikliklerin bir sonucudur. Bu değişiklikler, enfeksiyonlar, tümörler, yara izleri, sıvı birikimi veya granülom oluşumu gibi farklı mekanizmalarla ortaya çıkabilir.

Akciğerde Leke Belirtileri Nelerdir?

Akciğerde leke, genellikle tek başına bir belirti değildir, daha ziyade altta yatan bir durumun varlığını gösteren bir radyolojik bulgudur. Bu nedenle, akciğerdeki lekenin kendisi değil, altta yatan nedenin belirtileri ortaya çıkar. Bazı durumlarda akciğerdeki lekeler hiç belirti vermezken, bazı durumlarda ise çeşitli solunum yolu belirtilerine neden olabilir.

Akciğerde lekeye neden olabilecek durumların belirtileri şunlardır:

  • Kronik öksürük: Geçmeyen veya sürekli devam eden öksürük.
  • Kanlı öksürük (hemoptizi): Öksürükle birlikte kan gelmesi.
  • Nefes darlığı: Özellikle eforla artan nefes darlığı.
  • Göğüs ağrısı: Derin nefes alırken veya öksürürken artan göğüs ağrısı.
  • Hırıltılı solunum: Nefes alırken hırıltı veya ıslık sesi duyulması.
  • Balğam çıkarma: özellikle rengi değişmiş veya kanlı balgam.
  • İştah kaybı ve kilo kaybı: Nedeni bilinmeyen kilo kaybı.
  • Gece terlemeleri: özellikle tüberküloz gibi bazı enfeksiyonlarda görülebilir.
  • Ateş: Enfeksiyon kaynaklı lekelenmelerde yaygın bir belirtidir.
  • Yorgunluk: Sebepsiz halsizlik ve yorgunluk.

Akciğerde Leke Tedavisi Nasıl Yapılır?

Akciğerde leke tedavisi, altta yatan nedene göre değişiklik gösterir. Doğru teşhis konulduktan sonra, doktor uygun tedavi planını belirleyecektir. İşte akciğerde leke tedavisinde kullanılan bazı yaygın yöntemler:

1. Enfeksiyonlar:

  • Antibiyotikler: Bakteriyel enfeksiyonlarda antibiyotik tedavisi uygulanır.
  • Antiviral ilaçlar: Viral enfeksiyonlarda antiviral ilaçlar veya semptomatik tedavi (ağrı kesiciler, dinlenme vb.) uygulanabilir.
  • Antifungal ilaçlar: Mantar enfeksiyonlarında antifungal ilaçlar kullanılabilir.

2. İltihaplı Hastalıklar:

  • Kortikosteroidler: Sarkoidoz veya romatoid artrit gibi durumlarda iltihabı azaltmak için kortikosteroidler kullanılabilir.
  • Diğer immünsüpresan ilaçlar: Bazı durumlarda bağışıklık sistemini baskılayan ilaçlar kullanılabilir.

3. Akciğer Tümörleri:

  • Cerrahi: İyi huylu veya kötü huylu tümörler cerrahi olarak çıkarılabilir.
  • Radyoterapi: Kötü huylu tümörlerde radyoterapi uygulanabilir.
  • Kemoterapi: Kötü huylu tümörlerde kemoterapi uygulanabilir.
  • Hedefe yönelik tedaviler: Bazı akciğer kanseri türlerinde hedefe yönelik tedaviler kullanılabilir.

4. Diğer Nedenler:

  • Akciğer fibrozisi: Akciğer fibrozisinin tedavisi, hastalığın nedenine ve şiddetine bağlı olarak değişir. Bazı durumlarda ilaç tedavisi, oksijen tedavisi veya akciğer nakli gerekebilir.
  • Akciğer embolisi: Akciğer embolisinin tedavisi, kan sulandırıcı ilaçlar veya trombolitik ilaçlarla yapılabilir.
  • Akciğer ödemi: Akciğer ödeminin tedavisi, diüretikler veya oksijen tedavisi ile yapılabilir.

Önemli Notlar:

  • Akciğerde leke tespit edildiğinde, mutlaka bir göğüs hastalıkları uzmanına başvurmak gereklidir.
  • Doktor, lekenin nedenini belirleyerek uygun tedavi planını oluşturacaktır.
  • Kendi kendinize tedavi yöntemleri uygulamak, durumu kötüleştirebilir.

Akciğerde Leke Hakkında Sık Sorulan Sorular?

Akciğerde Leke Tehlikelimi​dir?

Akciğerde leke, birçok farklı nedenle ortaya çıkabilen ve tehlikeli olup olmadığı altta yatan nedene bağlı olan bir durumdur. Bu nedenle, akciğerde leke tespit edildiğinde mutlaka bir uzmana başvurmak ve gerekli tetkikleri yaptırmak önemlidir.

İşte akciğerde lekenin tehlikeli olabileceği bazı durumlar:

  • Akciğer Kanseri: Akciğerdeki bazı lekeler, kötü huylu tümörlerin (akciğer kanseri) belirtisi olabilir.
  • Tüberküloz (Verem): Tüberküloz, akciğerlerde kalıcı hasara neden olabilen ve tedavi edilmezse ölümcül olabilen bulaşıcı bir hastalıktır.
  • Akciğer Embolisi: Akciğer damarlarında kan pıhtısı nedeniyle tıkanıklık, acil tıbbi müdahale gerektiren hayati bir durumdur.
  • Akciğer Fibrozisi: Akciğer dokusunda sertleşme ve yara izi oluşumu, solunum yetmezliğine yol açabilir.
  • Mantar Enfeksiyonları: Bazı mantar enfeksiyonları, özellikle bağışıklık sistemi zayıflamış kişilerde ciddi akciğer sorunlarına neden olabilir.

Ancak, akciğerdeki lekelerin çoğu iyi huyludur ve genellikle şu nedenlerle ortaya çıkar:

  • Geçirilmiş Enfeksiyonların İzleri: Zatürre veya tüberküloz gibi enfeksiyonlar iyileştikten sonra akciğerde kalıcı izler bırakabilir.
  • İyi Huylu Tümörler: Akciğerde iyi huylu tümörler (hamartomlar gibi) oluşabilir.
  • İltihaplı Hastalıklar: Sarkoidoz gibi bazı iltihaplı hastalıklar akciğerde lekelere neden olabilir.

Akciğerde Leke Ne Demek​?

Akciğerde "leke" ifadesi, genellikle akciğer röntgeni veya bilgisayarlı tomografi (BT) gibi görüntüleme yöntemleriyle akciğer dokusunda görülen ve normal akciğer dokusundan farklı olan alanları tanımlamak için kullanılan, halk arasında yaygın bir terimdir. Tıbbi terminolojide bu bulgular için daha spesifik terimler kullanılır.

İşte akciğerde leke olarak ifade edilen durumun tıbbi açıdan anlamı:

  • Radyolojik Bir Bulgu: Akciğerde leke, doğrudan bir hastalık değil, görüntüleme testlerinde (röntgen, BT) görülen bir bulgudur.
  • Anormal Görünüm: Akciğer dokusundaki normal havalanma ve yapının bozulması sonucu oluşan farklı yoğunluklardaki görünümlerdir.
  • Çeşitli Nedenler: Akciğerde leke, birçok farklı nedenle ortaya çıkabilir. Bunlar enfeksiyonlar, iltihaplı hastalıklar, tümörler veya diğer akciğer sorunları olabilir.

Akciğerde Leke Kanser Midir​?

Akciğerde leke, her zaman kanser anlamına gelmez. Akciğerdeki lekelerin nedenleri oldukça çeşitlidir ve çoğu zaman iyi huylu durumlardan kaynaklanır. Ancak, bazı durumlarda akciğerdeki lekeler, akciğer kanseri gibi kötü huylu bir durumun belirtisi olabilir.

İşte akciğerde lekeye neden olabilecek durumlar ve kanserle ilişkisi:

Kanser Olmayan Nedenler:

  • Enfeksiyonlar: Zatürre, tüberküloz (verem) veya mantar enfeksiyonları gibi enfeksiyonlar akciğerde lekelere neden olabilir. Bu lekeler, enfeksiyon tedavi edildikten sonra genellikle kaybolur.
  • İltihaplı Hastalıklar: Sarkoidoz veya romatoid artrit gibi iltihaplı hastalıklar akciğerde lekelere neden olabilir.
  • Geçirilmiş Enfeksiyonların İzleri: Geçirilmiş bir zatürre veya tüberküloz gibi enfeksiyonun akciğer dokusunda bıraktığı izlerdir.
  • İyi Huylu Tümörler: Hamartomlar gibi iyi huylu tümörler akciğerde lekelere neden olabilir.

Kanser Olabilecek Nedenler:

  • Akciğer Kanseri: Akciğerdeki bazı lekeler, akciğer kanserinin belirtisi olabilir. Özellikle sigara içen veya uzun süre asbest gibi zararlı maddelere maruz kalan kişilerde bu risk daha yüksektir.

Akciğerde Leke Görülmesi​?

Akciğerde leke görülmesi, akciğer dokusunda normalden farklı bir görünümün radyolojik görüntüleme yöntemleriyle (röntgen, bilgisayarlı tomografi - BT) saptanmasıdır. Halk arasında "akciğerde leke" olarak ifade edilen bu durum, tıbbi literatürde nodül, infiltrasyon, konsolidasyon gibi terimlerle ifade edilir. Akciğerde leke görülmesi, çeşitli nedenlerden kaynaklanabilir ve her zaman ciddi bir hastalığın belirtisi olmayabilir.

Akciğerde Beyaz Leke​?

Akciğerde "beyaz leke" olarak ifade edilen durum, akciğer görüntülemelerinde (röntgen, bilgisayarlı tomografi - BT) normal akciğer dokusundan daha yoğun görünen alanlardır. Bu beyazlıklar, çeşitli nedenlerden kaynaklanabilir ve her zaman ciddi bir sorunu işaret etmeyebilir.

Tıbbi terminolojide "beyaz leke" ifadesi yerine daha spesifik terimler kullanılır. En sık karşılaşılan terimler şunlardır:

  • Nodül: Akciğerde görülen, 3 cm'den küçük, yuvarlak veya oval şekilli, sınırları belirli kitleler.
  • İnfiltrasyon: Akciğer dokusuna yayılmış, sınırları belirsiz, daha geniş lezyon alanı.
  • Konsolidasyon: Akciğerdeki hava keseciklerinin (alveoller) sıvı, irin veya hücrelerle dolması sonucu ortaya çıkan, yoğun ve sınırları belirgin bir lezyon.
  • Opasite: Akciğerde yoğunluğu artmış herhangi bir alan için kullanılan genel bir terimdir.

Beyaz Lekeye Neden Olabilecek Durumlar:

  • Enfeksiyonlar: Zatürre (pnömoni), tüberküloz (verem), mantar enfeksiyonları gibi akciğerde iltihap oluşumuna neden olabilen durumlar.
  • Akciğer Tümörleri: İyi veya kötü huylu tümörler (akciğer kanseri gibi).
  • İltihaplı Hastalıklar: Sarkoidoz gibi bazı iltihaplı hastalıklar.
  • Sıvı Birikimi: Akciğer ödemi gibi durumlarda.
  • Diğer Nedenler: Akciğer fibrozisi (akciğer dokusunda sertleşme) gibi çeşitli durumlar.

Akciğerdeki Leke Nasıl Geçer​?

Akciğerdeki lekenin nasıl geçeceği, altta yatan nedene bağlı olarak değişir. Bu nedenle, akciğerde bir leke görüldüğünde, bir göğüs hastalıkları uzmanına başvurmak ve doğru teşhisin konulması için gerekli tetkikleri yaptırmak önemlidir.

Tıbbi İçerik Onay Bilgisi

Bu içerik, A Life Sağlık Grubu Genel Cerrahi birimi uzmanları tarafından tıbbi literatür ve güncel cerrahi protokoller ışığında incelenmiş ve onaylanmıştır.

İlgili Branş Hekimlerimiz:

Son Güncelleme: Aralık 2025 Doktor Profillerimizi Ziyaret Edin
A Life Tıbbi Yayın Kurulu tarafından hazırlanmıştır.

Son Güncelleme: 6 Kasım 2025 14:05

Yayınlanma Tarihi: 22 Mart 2025 04:15

Akciğerde Leke Nedir? Akciğerde Leke Neden Olur?

Hızlı Başvuru Formu

Lütfen size ulaşabilmek için aşağıdaki alanları doldurunuz

İlgili Bölümler
İlgili Hekimler
Benzer İçerikler

Yardıma mı ihtiyacınız var ?

7/24 tüm soru ve sorunlarınız için buradayız.